Kedves Mindenki, aki azzal töltötte értékes idejét, hogy ezt a blogot olvasta, hozzászólt, segített, támogatott, megosztotta velem a gondolatait, érzéseit! Rövid gondolkodás után úgy határoztam, hogy felfüggesztem az írást, mert igazából nincs miről mindaddig, amíg el nem megyek a következő MR-re, az pedig csak 2009. február 26-án lesz. Írogathatnék minden másról, vagy bemásolhatnám a titkos naplóm jegyzeteit :-), de nem akarok a tárgytól nagyon eltérni. Ezért egyelőre megköszönöm Nektek, hogy velem voltatok, szurkoltatok, támogattatok. Kívánok Nektek Áldott Karácsonyt, boldogságot, egészséget a következő évre! Gabi
2008. december 14., vasárnap
2008. december 5., péntek
Louise L. Hay Éld az életed c. könyve szerint
Betegség: Daganat (Tumor)
Lehetséges ok: Régi sérelmek és megrázkódtatások őrizgetése. Lelkifurdalás.
Igen. Egyetértek. Rólam szól. Rólatok, akik szintén daganattal büntetitek magatokat, nem szól?
Hát én mégiscsak azt gondolom, hogy nem úgy vagyunk összerakva, hogy van egy lelki, pszichés működéstől független test, ami magától, befolyásolhatatlan, sőt rejtélyes genetikai, evolúciós programok alapján működik. Hanem igenis azt gondolom, hogy igaza van Eperjes Károlynak, aki szerint a mondás úgy helyes, hogy "ép lélekben - ép test". Én elég régóta nem vagyok jól lelkileg, illetve hol jobban, hol rosszabbul vagyok, és szerintem itt keresendő a genetikai aktiválódás kulcsa. Ezt nem azóta találtam ki, amióta ilyen könyveket olvasok, mert kb. amióta olvasok, "ilyen" könyveket olvasok, hanem egyszerűen meggyőződéssel vallom, hogy a lelki működésem, az elmém, az "énem" kiadta az önpusztító parancsot egyszer az agyamnak, a testem sofőrjének - ahogy Domján László mondja-, és ennyi időbe telt, mire a program elkezdett aktiválódni. És hiszek benne, hogy ha rendbeteszem a lelkem, nem lesz többé daganatom. Ámen.
Lehetséges ok: Régi sérelmek és megrázkódtatások őrizgetése. Lelkifurdalás.
Igen. Egyetértek. Rólam szól. Rólatok, akik szintén daganattal büntetitek magatokat, nem szól?
Hát én mégiscsak azt gondolom, hogy nem úgy vagyunk összerakva, hogy van egy lelki, pszichés működéstől független test, ami magától, befolyásolhatatlan, sőt rejtélyes genetikai, evolúciós programok alapján működik. Hanem igenis azt gondolom, hogy igaza van Eperjes Károlynak, aki szerint a mondás úgy helyes, hogy "ép lélekben - ép test". Én elég régóta nem vagyok jól lelkileg, illetve hol jobban, hol rosszabbul vagyok, és szerintem itt keresendő a genetikai aktiválódás kulcsa. Ezt nem azóta találtam ki, amióta ilyen könyveket olvasok, mert kb. amióta olvasok, "ilyen" könyveket olvasok, hanem egyszerűen meggyőződéssel vallom, hogy a lelki működésem, az elmém, az "énem" kiadta az önpusztító parancsot egyszer az agyamnak, a testem sofőrjének - ahogy Domján László mondja-, és ennyi időbe telt, mire a program elkezdett aktiválódni. És hiszek benne, hogy ha rendbeteszem a lelkem, nem lesz többé daganatom. Ámen.
Hathetes konzílium
Az ambulancián találkoztam volt betegtársaimmal. A veteránok visszatértek a harcmezőre.
Az "agy-kontroll" számomra óriási csalódás volt, mert az égvilágon semmit sem kontrolláltak, MR csak február 26-án lesz, még a huplis vágást sem tapogatta meg a fejemen. Tanár Úr elkérte a zárójelentést és a szövettani eredményt, rámnézett, megkérdezte, hogy érzem magam. Elmondtam, hogy hogy vagyok, majd a könnyeimmel küszködve feltettem a kérdéseim.
A beszélgetés nagyjából a következő információkat tartalmazta, nem feltétlenül ebben a sorrendben: Tanár Úr szerint mázlista vagyok, mert a lehető legjobb típusú daganat volt a fejemben. Az oligót ő jobban kedveli, mert az asztrocitóma kiszámíthatatlanabb. Örüljek, hogy így vagyok, mert van, akit egyidőben velem műtött és még mindig az intenzíven fekszik. Van, akinek 2 éven belül tér vissza, van, akinek 12 éven belül, a statisztikai átlag az az 5 év. Természetesen maradtak tumorsejtek az agyban, mivel csak a daganatot távolította el, az agyhoz, amennyire lehetett, nem nyúlt. Igen: lesz még műtétem, de többszöri műtéttel garantálható olyan életkilátás, mint a teljesen egészséges embereknek. Van esélyem megélni a magyarországi átlagéletkort.
Kemózni és sugarazni is lehetne, de teljesen felesleges, mert régebben adtak ilyen terápiát, de a visszanövés azzal vagy anélkül éppen ugyanolyan időtartamú volt. Nem rák. Nem képez áttéteket sem. A fejfájásom szerinte pszichés eredetű. Említettem, hogy a pálcikák és foltok továbbra is ott táncolnak a szememben. Azt mondta: nem számít. Mondtam: nekem azért mégiscsak valamelyest. Válasza, kissé neheztelő hangsúllyal: "Ne haragudjon, magának mégiscsak egy agydaganata volt!!" Szedjek nyugodtan bármilyen vitamint, étrendkiegészítőt, ha ez engem megnyugtat, de tudjam, hogy a daganat növekedését nem befolyásolja se pozitív se negatív irányba. A daganatot génhiba okozza. Elmondta röviden tömören az evolúció elméletét, az evolúció bennünk zajlik, nincs még vége. A genetikai változás viszi előre az emberiséget, amely változás néha jó, néha rossz, jelen esetben éppen rossz, mert daganatot okozott. Nem lennének madarak, ha a halakban nincs meg ez a genetikai program.
Nem én csináltam magamnak, mondta többször is, mert szerinte nem tudom befolyásolni, hogy mikor újul ki. Megnyugtatni próbált, hogy ez egy ellenőrizhető, kontrollálható folyamat, majd ő ezt felügyeli. Ha tetszik, vegyem úgy, hogy ő az agyam felelőse. Mondtam, hogy nagyon szívesen megtenném bűnbaknak a Tanár Urat, de én mégiscsak azt gondolom, hogy valami módon csak van valami közöm a daganat létrejöttéhez, de ő nem tágított a génektől. Mint mondta, ő a földön a legmagasabban fejlett emberi szerv, az agy szakembere, bízzak benne. Valamint túl sokat foglalkozok magammal, ismeri a fajtámat, csak rám kell néznie. Ne foglalkozzam annyit magammal, éljem az életem, majd ő meg a párom foglalkozik velem. Párom rákérdezett, hogy ha esetleg valamikor szeretnénk (szeretne) egy új gyereket, volna-e bármi akadálya a részemről. Már a kérdés felvetése is heves tiltakozást váltott ki belőlem, mindazonáltal sebészi akadálya nem lenne a dolognak, bár ő ilyen pszichés állapotban nem javasolná egyelőre. Hát röviden ennyi.
Az "agy-kontroll" számomra óriási csalódás volt, mert az égvilágon semmit sem kontrolláltak, MR csak február 26-án lesz, még a huplis vágást sem tapogatta meg a fejemen. Tanár Úr elkérte a zárójelentést és a szövettani eredményt, rámnézett, megkérdezte, hogy érzem magam. Elmondtam, hogy hogy vagyok, majd a könnyeimmel küszködve feltettem a kérdéseim.
A beszélgetés nagyjából a következő információkat tartalmazta, nem feltétlenül ebben a sorrendben: Tanár Úr szerint mázlista vagyok, mert a lehető legjobb típusú daganat volt a fejemben. Az oligót ő jobban kedveli, mert az asztrocitóma kiszámíthatatlanabb. Örüljek, hogy így vagyok, mert van, akit egyidőben velem műtött és még mindig az intenzíven fekszik. Van, akinek 2 éven belül tér vissza, van, akinek 12 éven belül, a statisztikai átlag az az 5 év. Természetesen maradtak tumorsejtek az agyban, mivel csak a daganatot távolította el, az agyhoz, amennyire lehetett, nem nyúlt. Igen: lesz még műtétem, de többszöri műtéttel garantálható olyan életkilátás, mint a teljesen egészséges embereknek. Van esélyem megélni a magyarországi átlagéletkort.
Kemózni és sugarazni is lehetne, de teljesen felesleges, mert régebben adtak ilyen terápiát, de a visszanövés azzal vagy anélkül éppen ugyanolyan időtartamú volt. Nem rák. Nem képez áttéteket sem. A fejfájásom szerinte pszichés eredetű. Említettem, hogy a pálcikák és foltok továbbra is ott táncolnak a szememben. Azt mondta: nem számít. Mondtam: nekem azért mégiscsak valamelyest. Válasza, kissé neheztelő hangsúllyal: "Ne haragudjon, magának mégiscsak egy agydaganata volt!!" Szedjek nyugodtan bármilyen vitamint, étrendkiegészítőt, ha ez engem megnyugtat, de tudjam, hogy a daganat növekedését nem befolyásolja se pozitív se negatív irányba. A daganatot génhiba okozza. Elmondta röviden tömören az evolúció elméletét, az evolúció bennünk zajlik, nincs még vége. A genetikai változás viszi előre az emberiséget, amely változás néha jó, néha rossz, jelen esetben éppen rossz, mert daganatot okozott. Nem lennének madarak, ha a halakban nincs meg ez a genetikai program.
Nem én csináltam magamnak, mondta többször is, mert szerinte nem tudom befolyásolni, hogy mikor újul ki. Megnyugtatni próbált, hogy ez egy ellenőrizhető, kontrollálható folyamat, majd ő ezt felügyeli. Ha tetszik, vegyem úgy, hogy ő az agyam felelőse. Mondtam, hogy nagyon szívesen megtenném bűnbaknak a Tanár Urat, de én mégiscsak azt gondolom, hogy valami módon csak van valami közöm a daganat létrejöttéhez, de ő nem tágított a génektől. Mint mondta, ő a földön a legmagasabban fejlett emberi szerv, az agy szakembere, bízzak benne. Valamint túl sokat foglalkozok magammal, ismeri a fajtámat, csak rám kell néznie. Ne foglalkozzam annyit magammal, éljem az életem, majd ő meg a párom foglalkozik velem. Párom rákérdezett, hogy ha esetleg valamikor szeretnénk (szeretne) egy új gyereket, volna-e bármi akadálya a részemről. Már a kérdés felvetése is heves tiltakozást váltott ki belőlem, mindazonáltal sebészi akadálya nem lenne a dolognak, bár ő ilyen pszichés állapotban nem javasolná egyelőre. Hát röviden ennyi.
2008. december 3., szerda
Tea
Ismeritek ezt a terméket? Vagy ismertek valakit, aki ismer valakit, aki itta? Van erről tapasztalatotok, véleményetek? http://codtea.oditech.hu/
Kaptam egy könyvecskét (Segítség RÁK esetén CoD betegtájékoztató) a teáról, és mivel alapvetően szkeptikus vagyok/lettem, és mielőtt a gyedem ráköltöm, érdekelne, hogy mit gondoltok róla. Köszönöm!
Kaptam egy könyvecskét (Segítség RÁK esetén CoD betegtájékoztató) a teáról, és mivel alapvetően szkeptikus vagyok/lettem, és mielőtt a gyedem ráköltöm, érdekelne, hogy mit gondoltok róla. Köszönöm!
| A Daganatos betegségek üzenete: Dr Czeizel Beatrix Írta: Tné Zsuzsa Időpont: 2003. október 17., péntek, 00:42 CET | |
|
Czeizel Beatrix
A: A daganat, mint tükör/ Miről mesél a daganat a testedben?
Ezeket a meditációkat terápiás kiegészítésként ajánljuk daganatos betegségben szenvedők részére. A test mélységeiben tett belső utazás során feltárjuk azokat az érzelmi, lelki fájdalmakat, frusztrációkat, és régóta fennálló konfliktusokat, elzárt emlékeket, melyeknek sejtszintű manifesztációja lehet a daganat.
B:A belső gyógyító erők mozgósítása az Élet választásáért
Ebben a meditációban tovább mélyül a betegség érzelmi hátterének felderítése, és a testünkkel való őszinte, gyöngéd beszélgetés.
Ha kéred, küldj nekem egy e-mailt, és elküldöm.
Rákdiéta
Szkenner hiányában továbbra is primitív, fényképezett módon, belelógó mutató- vagy hüvelykujjal ... :-)
http://data.hu/get/914135/Rakdieta.rar
A könyv agydaganatos részét külön is feltettem: http://data.hu/get/914306/agytumor.rar.html
Ne haragudjatok, hogy nem válaszolok. Majd írni is fogok, válaszolni is, de egyelőre csak idegeskedem tovább a holnapi kontrollig, és gyűjtögetem a kérdéseimet. A legjobban az foglalkoztat, hogy rákos vagyok-e vagy csak szimplán daganatos beteg. Vagy a kettő között csak nyelvészeti különbség van-e...? És beteg vagyok? Mert nekem még mindig "csak" a lelkem fáj... Egy igazi betegség számomra továbbra is ágyban fekvő, eldugult orrú, köhögős, mézes kamillás teát és lázcsillapítókat fogyasztó énemet jelenti. Vagy ez a kép már önmagában hárítás??? Akkor is beteg vagyok, ha nem érzem?
Ja, a Tari Annamária könyve (Sejtem... c.) nekem is megvan, ha kéritek, lefotózom azt is. Nem éppen pozitív olvasmány, hanem pszichológusos. Ámde roppant hatásos. Megtanít rá, hogyan kell helyesen depresszív daganatos betegnek lenni. ;-) Elolvastam, és csak még jobban megzuhantam. De szívesen felteszem. Aztán meg még: nekem szinte MINDEN agykontrollos, ezoterikus hanganyag megvan, ami elérhető volt valaha is a neten. Pl. Czeizel Beatrix daganat-meditációja is. Szóval ha bárkinek bármi kell a közel 2 gigányi "cuccból", küldjön egy mélt, és küldöm (ha megvan).
Puszi mindenkinek!
Gabi
2008. december 2., kedd
2008. november 28., péntek
2008. november 27., csütörtök
rakgyogyitas.hu
Kérdése:
1974. március 5-én születtem, 34 éves múltam. 2008. október 14-én műtött dr. Czirják Sándor agydaganattal. A daganat a jobb homloklebenyem több mint egyharmadát foglalta el. A szövettan szerint oligodendroglióma grade II-es típusú volt a daganat. Aziránt érdeklődöm, hogy mennyi ideig normális a műtét utáni depresszió? Most már 34 nap eltelt, és én egyre nyomorultabbul érzem magam. Felváltva vagyok levert és őrjöngő. Egyszer nincs kedvem semmihez, iszonyú fáradt, kimerült, üres, energiátlan vagyok, állandóan csak aludnék és feküdnék, de nem lehet, mert el kell látnom a 15 hónapos kislányomat és a háztartást is. Az anyukám és a párom sajnos nem sokat segít benne, hogy hagyjanak pihenni. Amikor meg rám tör az ötperc, mindenkivel ordibálok, majd kiszakad a szívem a helyéből, felmegy a vérnyomásom, és azon járatom az agyam, hogyan tudnám minél előbb legyilkolni magam, mert már nagyon elegem van magamból. Nem akarom diagnosztizálni magam, de azt gondolom, depressziós vagyok. Ez normális agyműtét után? Végülis meg lett bolygatva az agyam, a biokémiai egyensúlya stb., talán ezért is... Nem tudom. Úgy érzem, teljesen rajtam kívül történnek a dolgok, nem én döntöm el, hogy most akkor nekiállok szomorkodni vagy dühöngeni, hanem csak megtörténik velem. Nem bírok relaxációs anyagokat hallgatni, mert ideges leszek tőlük... Mit tegyek, hogy ne menjek a környezetem, a szeretteim és a magam agyára?
Válasz:
1974. március 5-én születtem, 34 éves múltam. 2008. október 14-én műtött dr. Czirják Sándor agydaganattal. A daganat a jobb homloklebenyem több mint egyharmadát foglalta el. A szövettan szerint oligodendroglióma grade II-es típusú volt a daganat. Aziránt érdeklődöm, hogy mennyi ideig normális a műtét utáni depresszió? Most már 34 nap eltelt, és én egyre nyomorultabbul érzem magam. Felváltva vagyok levert és őrjöngő. Egyszer nincs kedvem semmihez, iszonyú fáradt, kimerült, üres, energiátlan vagyok, állandóan csak aludnék és feküdnék, de nem lehet, mert el kell látnom a 15 hónapos kislányomat és a háztartást is. Az anyukám és a párom sajnos nem sokat segít benne, hogy hagyjanak pihenni. Amikor meg rám tör az ötperc, mindenkivel ordibálok, majd kiszakad a szívem a helyéből, felmegy a vérnyomásom, és azon járatom az agyam, hogyan tudnám minél előbb legyilkolni magam, mert már nagyon elegem van magamból. Nem akarom diagnosztizálni magam, de azt gondolom, depressziós vagyok. Ez normális agyműtét után? Végülis meg lett bolygatva az agyam, a biokémiai egyensúlya stb., talán ezért is... Nem tudom. Úgy érzem, teljesen rajtam kívül történnek a dolgok, nem én döntöm el, hogy most akkor nekiállok szomorkodni vagy dühöngeni, hanem csak megtörténik velem. Nem bírok relaxációs anyagokat hallgatni, mert ideges leszek tőlük... Mit tegyek, hogy ne menjek a környezetem, a szeretteim és a magam agyára?
Válasz:
Egy agyműtét valóban járhat az érintett agyterület "megbolygatása" miatt is személyiségváltozással, de az Önre háruló különféle terhek is okozhatnak depressziós panaszokat.
Azt javasoljuk, hogy először menjen vissza kontrollra az idegsebészéhez. A vele való konzultáció után szükség lehet pszichiátriai konzíliumra, szorongásoldók és/vagy hangulatjavítók beállítására, de hogy pontosan mire, ezt a szakorvosi vizsgálatok dönthetik el. Érdemes annak is utánajárni, hogy az intézményben elérhető-e pszichológus, esetleg kifejezetten a rákbetegekkel foglalkozó onkopszichológus szakember, mivel őt mindenképp érdemes lenne megkeresnie: a depresszió kezelhető!
2008. november 10., hétfő
Másnap
"Aludtam" rá egyet. Pár órát.
Végül is ironikus, hogy meghosszabbították az életem, én meg hisztizek, hogy de mér' csak ennyivel, mikor nem is tudhatom, hogy mennyi az az ennyi. Lehet, hogy mondjuk lenne 10 évem, de a kilencedikben elüt egy autó, kitör a harmadik világháború, vagy meghalok méhnyakrákban vagy multivitamin- vagy csokitúladagolásban, ha így folytatom... vagy elmegyek szorongásoldó pszichotróp gyógyszereket íratni, amik szétrombolják a májam, vagy.
És az is roppant vicces, hogy mindezidáig, mondjuk konkrétan pár évvel ezelőttig kifejezetten akartam, hogy legyen már vége ennek az egész életnek nevezett gyötrődésnek, és tessék, most meg nyoma sincs bennem semmilyen halálvágynak, hanem ellenkezőleg.
Ki érti magamat?!
Most lenne jó depresszív zenékben tobzódó, My Dying Bride-ot hallgató huszonévesnek lenni!
De hát ezt elszúrtam... :P
Végül is ironikus, hogy meghosszabbították az életem, én meg hisztizek, hogy de mér' csak ennyivel, mikor nem is tudhatom, hogy mennyi az az ennyi. Lehet, hogy mondjuk lenne 10 évem, de a kilencedikben elüt egy autó, kitör a harmadik világháború, vagy meghalok méhnyakrákban vagy multivitamin- vagy csokitúladagolásban, ha így folytatom... vagy elmegyek szorongásoldó pszichotróp gyógyszereket íratni, amik szétrombolják a májam, vagy.
És az is roppant vicces, hogy mindezidáig, mondjuk konkrétan pár évvel ezelőttig kifejezetten akartam, hogy legyen már vége ennek az egész életnek nevezett gyötrődésnek, és tessék, most meg nyoma sincs bennem semmilyen halálvágynak, hanem ellenkezőleg.
Ki érti magamat?!
Most lenne jó depresszív zenékben tobzódó, My Dying Bride-ot hallgató huszonévesnek lenni!
De hát ezt elszúrtam... :P
Valahogy...
Valahogy el vagyok szontyolodva.
Most fogtam fel, hogy az éveim meg vannak számlálva...
Nehogy küldjön nekem bárki pozitív-gondolkodós anyagot!
El fogok menni a pszichológusnőhöz asszem.
Összeomlottam.
Nekem tényleg agydagantom volt...
...és visszatérhet...
mert általában visszatérnek...
és megint megműtik és megint kimetszenek egy darabot majd az agyamból
és addig lehet ezt csinálni, míg marad belőle egyáltalán valami...
vagy zombi leszek
vagy halott
nem kéne valahogy még jóval azelőtt meghalni, mielőtt meghalok???
Most fogtam fel, hogy az éveim meg vannak számlálva...
Nehogy küldjön nekem bárki pozitív-gondolkodós anyagot!
El fogok menni a pszichológusnőhöz asszem.
Összeomlottam.
Nekem tényleg agydagantom volt...
...és visszatérhet...
mert általában visszatérnek...
és megint megműtik és megint kimetszenek egy darabot majd az agyamból
és addig lehet ezt csinálni, míg marad belőle egyáltalán valami...
vagy zombi leszek
vagy halott
nem kéne valahogy még jóval azelőtt meghalni, mielőtt meghalok???
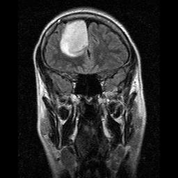
Oligodendroglióma
Az oligodendroglióma az agydaganatok egyik típusa, idegszövet eredetű daganat. Általában középkorú embereknél jelentkezik, és többnyire lassan növekvő tumor. A grade 2 a daganat szövettani rosszindulatúságának mértékére utal, ez az érték közepesen rosszindulatú daganatot jelent.
Legsűrűbben 45-50 éves korban fordul elő. Szövettanilag jóindulatú daganatnak számít (rosszindulatú formája az oligodendroglioblastoma), ám gyakran beszűri a környezetét, emiatt teljes egészében nagyon ritkán távolítható el. Ebből következően kiújulása ugyancsak borítékolható, ám a klinikai gyakorlatban fellelhetők olyan esetek is, amikor többszöri operációval a betegnek 15-20 éves túlélést is tudtak biztosítani az orvosok.
http://www.rakgyogyitas.hu
Legsűrűbben 45-50 éves korban fordul elő. Szövettanilag jóindulatú daganatnak számít (rosszindulatú formája az oligodendroglioblastoma), ám gyakran beszűri a környezetét, emiatt teljes egészében nagyon ritkán távolítható el. Ebből következően kiújulása ugyancsak borítékolható, ám a klinikai gyakorlatban fellelhetők olyan esetek is, amikor többszöri operációval a betegnek 15-20 éves túlélést is tudtak biztosítani az orvosok.
http://www.rakgyogyitas.hu
2008. november 7., péntek
Agydaganat Klub
Ott voltunk párommal. A klubvezetőkkel együtt összesen kilencen. Megdöbbentem, mert azt gondoltam, egy hatalmas konferenciaterem zsúfolásig tele lesz műtött, gyógyult, vagy éppen most diagnosztizált emberekkel, de nem. Bemutatkoztunk egymásnak, elmeséltük a történetünket, feltettük a kérdéseinket, hogy ki mire számít, mit szeretne tudni a témával kapcsolatosan, és a klub vezetői ígéretet tettek rá, hogy szakértőket hívnak az eljövendő alkalmakra. A következő találkozó december 8-án lesz.
Megtudtuk, hogy az Onkológiai Intézetben dolgozik Dr. Oláh Edit, akinek a genetikai kutatás a területe, és az asszisztensénél lehet érdeklődni genetikai vizsgálattal kapcsolatban.
Megtudtuk, hogy az Onkológiai Intézetben dolgozik Dr. Oláh Edit, akinek a genetikai kutatás a területe, és az asszisztensénél lehet érdeklődni genetikai vizsgálattal kapcsolatban.
2008. november 4., kedd
"Interjú"-részletek
A műtét után párom megtudta Tanár Úrtól, hogy férfiökölnyi volt a tumor. Van, aki azt mondta, ebből is látszik, hogy milyen kicsi a nők agya, ha ekkora daganat elfér. Én meg arra vagyok inkább büszke, hogy olyan nő vagyok, akiben nem hal éhen az agyrák. Hö-hö.
Egyik délután vizitet követően bebocsáttatást nyertem a C-vizsgálóba Czirják Tanár Úrhoz. Vittem a jegyzetfüzetem, és feltettem az összes, engem érdeklő kérdést. Ő nagyon türelmesen válaszolt minden aggályoskodó gondolatomra. A fontosabbakból "mazsolázgatok".
- Mi van most a fejemben a daganat helyén?
- Agyvíz.
- Mennyi idő alatt forr össze a koponyacsont?
- Gyorsan.
- Ültetett idegen anyagot a fejembe?
- Nem.
- Mikorra lesz kész a szövettan?
- Két hét múlva.
- Mennyit kell fekve pihenni otthon? Mit csinálhatok és mit nem?
- 5 hétig. Csináljon mindent úgy, mint eddig, érezni fogja, mit bír, de legyen egy vetett ágy a közelben.
- Kenjem a sebem körömvirágkrémmel?
- Nem kell.
- Ez egy hormonérzékeny daganat volt? Szedhetek fogamzásgátlót?
- Nem az, de ne szedjen. Nem jó a fogamzásgátló tabletta.
- A szememben még mindig táncolnak a pálcikák, sőt egyre több van.
- Majd elmúlik.
- Zavarja a fény a szememet. Mit tegyek?
- Hát csukja be!
- Öröklődik a daganat?
- Nem bizonyított.
- Hallgathatok frissen műtött aggyal mp3-játszót fülhallgatóval?
- Nyugodtan.
- Moshatok hajat?
- Igen, csak ne érje víz azt a területet.
- Tanár Úr! Hogyan tovább? Mit tegyek, hogyan éljek, mielőtt felvásárolom egy biobolt teljes árukészletét, mit tanácsol, mit szedjek? Mit egyek, mit tegyek, hogy ne nőjön vissza daganat?
- Éljen úgy, mint eddig. Nem tehet ellene semmit. A daganat kialakulása önszabályzó folyamat, genetikai hiba, nincs rá hatásunk, kívülről nem tudjuk befolyásolni.
- Akkor miért engedik meg maguknak bizonyos vitamin- és táplálékkiegészítő kereskedők, hogy azt állítsák, multivitaminokkal megelőzhető, illetve meggyógyítható a rák?
- Nézze, ha nekem lenne egy milliárdos vitaminbizniszem, én is ezt állítanám.
- Tanár Úrnak mi a véleménye a spontán gyógyulásokról, amelyet csodás vagy spirituális gyógyulásnak is neveznek, illetve találkozott-e már ilyen esettel, hogy egy beteg megjelent tumoros lelettel, kapott időt, és mire legközelebb ment vizsgálatra, hűlt helye volt a daganatnak?
- Én ilyennel még nem találkoztam.
Egyik délután vizitet követően bebocsáttatást nyertem a C-vizsgálóba Czirják Tanár Úrhoz. Vittem a jegyzetfüzetem, és feltettem az összes, engem érdeklő kérdést. Ő nagyon türelmesen válaszolt minden aggályoskodó gondolatomra. A fontosabbakból "mazsolázgatok".
- Mi van most a fejemben a daganat helyén?
- Agyvíz.
- Mennyi idő alatt forr össze a koponyacsont?
- Gyorsan.
- Ültetett idegen anyagot a fejembe?
- Nem.
- Mikorra lesz kész a szövettan?
- Két hét múlva.
- Mennyit kell fekve pihenni otthon? Mit csinálhatok és mit nem?
- 5 hétig. Csináljon mindent úgy, mint eddig, érezni fogja, mit bír, de legyen egy vetett ágy a közelben.
- Kenjem a sebem körömvirágkrémmel?
- Nem kell.
- Ez egy hormonérzékeny daganat volt? Szedhetek fogamzásgátlót?
- Nem az, de ne szedjen. Nem jó a fogamzásgátló tabletta.
- A szememben még mindig táncolnak a pálcikák, sőt egyre több van.
- Majd elmúlik.
- Zavarja a fény a szememet. Mit tegyek?
- Hát csukja be!
- Öröklődik a daganat?
- Nem bizonyított.
- Hallgathatok frissen műtött aggyal mp3-játszót fülhallgatóval?
- Nyugodtan.
- Moshatok hajat?
- Igen, csak ne érje víz azt a területet.
- Tanár Úr! Hogyan tovább? Mit tegyek, hogyan éljek, mielőtt felvásárolom egy biobolt teljes árukészletét, mit tanácsol, mit szedjek? Mit egyek, mit tegyek, hogy ne nőjön vissza daganat?
- Éljen úgy, mint eddig. Nem tehet ellene semmit. A daganat kialakulása önszabályzó folyamat, genetikai hiba, nincs rá hatásunk, kívülről nem tudjuk befolyásolni.
- Akkor miért engedik meg maguknak bizonyos vitamin- és táplálékkiegészítő kereskedők, hogy azt állítsák, multivitaminokkal megelőzhető, illetve meggyógyítható a rák?
- Nézze, ha nekem lenne egy milliárdos vitaminbizniszem, én is ezt állítanám.
- Tanár Úrnak mi a véleménye a spontán gyógyulásokról, amelyet csodás vagy spirituális gyógyulásnak is neveznek, illetve találkozott-e már ilyen esettel, hogy egy beteg megjelent tumoros lelettel, kapott időt, és mire legközelebb ment vizsgálatra, hűlt helye volt a daganatnak?
- Én ilyennel még nem találkoztam.
2008. november 3., hétfő
Kórházi események
Október 13-án a hajnali órákban, éhgyomorra, ahogy írva volt, elhagytuk főhadiszállásunkat, és elindultunk párommal - tudjátok: Szélhasító Pállal :-) - Budapestre. A Laky Adolf úti épületben a Felvételi Irodában rámcsatolták a kórházi karszalagot, nehogy elvesszek vagy éppen más betegséggel műtsenek. Majd átléptünk egy önműködő dimenzió- és időkapun, és a huszonegyedik századi modern skandináv stílusú, szürke, üveg-beton épületből hirtelen átértünk ezerkilencszáz... hmm.. mondjuk-hatvankettőbe. Jelentkeztünk a nővérszobán. Leültünk részben a sokkoló látvány miatti döbbenettől, részben mert meg is kértek rá, a folyosón egy asztalhoz. Majd jött Edina, a legkedvesebb nővér, egy kitöltendő kérdőívvel és pár beutalóval, ugyanis teljesen új EKG és mellkasröntgen kellett a szeptember eleji helyett. Valamint vett vért is.
Délig elkészültek az új vizsgálatok, EEG nem volt, pedig kíváncsi lettem volna az agyhullámaimra, sétáltunk a parkban és az udvaron, felfedeztünk egy szép rózsabokrot, üldögéltünk a napsütésben, sokat vihogtam izgatottságomban, sokszor elmentem pisilni a modern épület modern vécéjébe, jöttünk-mentünk, felfedeztük az udvar minden zugát, és elhaladtunk a sokat sejtető elnevezésű tetemtároló előtt is. :-) Délben visszatértünk a "C"-osztályra, és már hozták is az ebédet, amely erőlevesszerű leves volt és LENCSEFŐZELÉK vagdalttal. Pálnak ízlett, nekem egy falat nem ment volna le belőle a torkomon, pedig Horváth Ágnes, egészségügyi miniszterasszony mindent megtett nyilván, hogy az én kedvemben is járjon, de mindhiába... Műtét előtti napon lencsét...???!!! Aznap kettő darab Balaton szelet volt a táplálékom meg egy harapásnyi alma a megfelelő vitaminbevitel miatt. Más dolgunk nem volt, csak várni a délutáni konzílium eredményét, amely alapján kihirdették, kit mikor műtenek. Közben megismerkedtem hmm... (utólag is bocsánat az elnevezésekért, de nekem akkor így tűnt praktikusnak) Adenóma Edittel és Gerinc Piroskával a kórteremtársaimmal. Közben átöltöztem rózsaszín malackának, de nem volt kedvem ágyban feküdni. Hanem azzal múlattuk az időt a párommal, hogy ha kellett, ha nem, átmentünk az új épületszárnyba az ambulanciára jólérezni magunkat, üldögélni, nézelődni. Délután volt még altatóorvosi vizsgálat is. Az altatóorvos doktornő mélyen belenézett a torkomba és megfogta a fülem mögötti csomókat.
Majd jött a konzílium utáni eredményhirdetés, amely szerint másnap másodikként műtenek, éjfélig ihatok, utána már nem, kapok altatót, reggel bátorító injekciót, majd behelyezik az infúziós kanülöket, kapok katétert, fáslit trombózis ellen, és este legyek kedves mossak hajat a fürdőben elhelyezett Betadine-oldattal. Így is lett. Az altató (Dormicum) ellenben nem altatott.
Reggel hordágyra tették Piroskát, megszorongattuk a kezét, adtunk neki puszit, és vitték a műtőbe. Hosszas türelmetlenkedés és sms-írogatás után le-föl mászkáltam a folyosón, beszélgettem már műtött nőkkel, kérdezgettem a nővéreket, hogy mikor kapok már én is bátorítót, mert ideges vagyok ám, és történjen már végre valami, mert úgy csinálnék már valamit, legalább hadd borotváljam le a hajam vagy bármi. Aztán végre megkaptam azt az injekciót, amitől nem lettem bátor, hanem pont fordítva, sőt semmilyen hatással nem volt rám. Szóval engem az altató nem altat, a bátorító nem nyugtat, viszont a Xanax-szal lettek érdekes kalandjaim, de erről később. :-)
Végre-végre-végre jött a nővérke, befáslizta a lábaim, feltette a katétert, amely felhelyezésétől igencsak tartottam, ámde a brutális szülésemhez képest ez a művelet meg se kottyant. Innetől kezdve csak feküdnöm volt szabad. Körülbelül 10 óra felé jött értem a jókedélyű beteghordó fiatalember a hordággyal. Sovánka volt nagyon szegény, kicsit aggódtam a testi épségéért, ezért elárultam neki, hogy nyolcvanhárom kiló vagyok, úgy vigyázzon magára! Teljesen ruha nélkül a nyakába kapaszkodtam, felpenderített az ágyra, a karjaimat a testem mellé szíjazta, rámdobott egy lepedőt és megindult a folyosó-rally.
Betolt az előkészítő helyiségbe, itt áttett egy másik fiatalember egy másik ágyra, majd továbbtoltak. Bőven volt időm vacogni, mennyezetet nézni, a mellettem elsuhanó műtősök fejetetejét perifériás látásommal észlelni. Továbbtoltak ismét, körülöttem tettek-vettek, papíroztak, végül üdvözölt az altatóorvosnő. Kaptam kézfejbe injekciót, és közölte, hogy a tőlem balra lévő dugattyűszerű izé ötöt fog összedugattyúzódni, és elalszom. Kettőig számoltam. :-)
Haloványan rémlik, hogy valakinek fennhangon szavalom, hogy kővárigabriellavagyok, ezerkilencszázhetvennégy-márciusötödikénszülettem, budapestenvagyok és agyműtétrejöttem.
Aztán a következő kép, hogy Szélhasító Pál csiklandozza a bal talpam és én ettől borzasztóan dühös vagyok, mert nem bírom hangosan mondani, hogy ne csinálja. Minden erőmet összeszedve kikínlódtam magamból valami hasonló értelmű mondatot, amelynek ő örült. Majd jött Czirják Tanár Úr is, és megkért rá, hogy mozgassam meg a lábaimat és a karjaimat. Minden rendben volt. Nem emlékszem rá, de tudom, hogy anyukám is volt benn az intenzív osztályon. A híresztelésekkel szemben VAN látogatás ott is! Pál kétszer is bejött. Az intenzíven töltött idő mennyiségét nem érzékeltem, de arra intenzíven emlékszem, hogy a mellettem fekvő, az ápolók által "Zsoltikának" nevezett fiú folyamatosan tépte ki magából az infúziót, törte össze az összetörhető dolgokat, és nagyon ideges volt rá a személyzet. Kaptam fájdalomcsillapítókat, mert nagyon fájt a derekam és a hátam a merev hanyattfekvéstől. Az éjszakát nem kellett az intenzíven töltenem, mert hirtelen kellett a hely, és engem tartottak a legeltávolíthatóbbnak.
Papírozás, hordágyról hordágyra pakolás, orvosok és műtősök viccelődéseinek hallgatása, észrevettem, hogy az egyik orvosnak ekcémás a könyöke, liftezés, tologatás, papírozás, B-osztály, nővéreknek átadás, papírozás, ágybatevés. A B-osztáy valamivel modernebb, mint a C, ahová nem vittek vissza, mert a helyem elfoglalta egy újonnan érkezett, műtétre váró nő. A B-n egy 22 éves hipotalamuszos lány feküdt és nézett tévét, amelyből én csak a hangot hallottam. Nem tudom ti hogy gondoljátok, de szerintem NAGYON DURVA, ha agyműtét után végighallgattatják az egész ertéelklubos-tévékettős esti műsorfolyamot az aktívtól a barátokköztön át a vészhelyzetig, grészklinikáig és tovább hajnali kettőig. Én ettől nem aludtam, a lány pedig az ágyam mellett megállás nélkül iszonyatosan idegtépő frekvencián sípoló szív- és egyéb életfunkcióimat figyelő monitortól. Úgy volt beállítva, hogy amint megmoccantam, máris csipogott. EGÉSZ ÉJJEL nem aludtam egy szemhunyásnyit sem, mert folyton sípoltam.
Az éjszakás nővér roppant ideges volt miattam, állandóan beszaladgált, hogy mi van már, miért 120 fölötti a pulzusom folyamatosan. Szerinte nem kellett volna kiengedni engem az intenzívről, ha ilyen rossz állapotban vagyok. Szólt az éjszakás orvosnőnek is, aki viszont nem úgy gondolta, hogy baj volna velem. Az éjszakás nővérke reggel felé közölte, hogy SZERINTE ha végeztem ezzel az egésszel az OITI-ben, menjek el otthon a körzetimhez és kérjek belgyógyászati kivizsgálásra beutalót, mert szerinte súlyos szívbeteg vagyok, azért csipog ennyire a gép és azért ilyen ROSSZAK az értékeim. Szerintem messze túllépte a hatáskörét... Na mindegy. (Később azért erre rákérdeztem a Tanár Úrnál, de ő nem gondolta, hogy szükséges lenne efféle kivizsgálás.)
Hajnal felé nyakonhánytam magam. A nővér azt mondta, ne mocorogjak, ne feküdjek oldalra, türelem-nyugalom, csak háton szabad. Éreztem, hogy valami nagyon megindul a gyomrom felől, de a nővér éppen sehol sem volt, hogy szólni tudtam volna, ezért hát aminek ki kellett jönnie, ki is jött... Amikor visszaért, rosszallóan csóválta a fejét, majd adott egy összehajtogatott lepedőt, hogy azzal törölgessem meg magam. Beinfúziózott kézfejjel azért ez elég nehéz mutatvány volt. Reggel hét órakor jött a nővérek műszakváltása, átadtak engem is az újaknak. Az éjszakás nővér beszámolt róla, hogy rosszalkodott a szívem, százhúszas-százharmincas pulzus, estébé, estébé. A reggeles nővér kicsit tűnődött, majd KIKAPCSOLTA az akkor már körülbelül 11 órája megállás nélkül borzalmasan hangosan csipogó monitort!!! :D Sőt, megengedte, hogy oldalra is feküdjek akár.
Reggelire kaptam vizet és egy szelet kenyeret. A nővérek poénkodtak, hogy ez ám a diéta! Közben sikerült egy kicsit elbóbiskolnom. Később hátulkötős, fenékvillantós kórházi hálóinget kaptam, jött egy, a tegnapinál is vékonkább-sovánkább fiú, felnyalábolta a pisis-zacsit, majd engem is átpakolt a hordágyra és elrobogott velem a régi jó C-osztályra.
A napok rutinszerűen teltek: hajnalban orgonás-levendulás légfrissítőillatú takarítás, láz- és vérnyomásmérés (általában 100 vagy 90/60!!!), infúzióbekötés, tablettaevés, vizit, "reggeli", látogatók, infúzióbekötés, "ebéd", vizit, látogatók, csokievés, "vacsora", napközben hosszas beszélgetések kedves kórteremtársaimmal. A harmadik napon kivették a katétert is, innentől kezdve szabadon jártam-keltem a folyosókon és a többi kórteremben beszélgettem a betegekkel. Felfedeztem magamban egy képességet: mindenkihez tudok csak neki szóló mondatokat mondani, és odafigyelve hallgatni. Nem volt megállás: ki-be mászkáltam a férfiak és a többi nő termébe és a folyosókra, lelket önteni a betegekbe, hozzátartozókba, újonnan érkezett rémültekbe.
Esténként az éjszakás nővér hozta a csodabogyós készletét, és megkínált mindenkit az általa óhajtott tablettából, altatóból, nyugtatóból, ízlés szerint ki mit kért. Hát szóval érdekes ám, hogy küzdünk mindenféle relaxációs, meditációs technikákkal, miközben - jelentem - a gyógyszeripar fantasztikus lazítószerekkel állt már elő! :-)
Már akinek... mondjuk. Én a műtétet követően hiperaktív lettem. A szónak abban a klasszikus értelmében, amit nem a szüleiket és tanáraikat idegesítő, eleven gyerekekre mondanak, hanem úgy istenigazából.
Hajnali kettőkor magamtól ébredtem frissen, üdén, kipihenten, egyfolytában ficeregtem, fészkalódtam, izegtem-mozogtam, egy pillanatra nem álltam le, felültem, visszafeküdtem, felültem, párnát igazgattam, kitakaróztam, betakaróztam, oldalra feküdtem, hanyatt feküdtem, rögtön a másik oldalamra, majd pakolgattam ezt-azt az éjjeliszekrényen, megállás nélkül beszéltem, tettem-vettem, kimentem húszszor vécére, visszamentem, leültem a folyosón, visszafeküdtem, és nem kaptam levegőt, hiába is akartam jó mélyet lélegezni, úgy éreztem, nem tudok elég levegőt venni a tüdőmbe, aztán iszonyúan szapora volt a szívverésem, hallottam, ahogy dörömböl a mellkasomban, kinyitottam az ablakot, becsuktam, kinyitottam megint, menekülési rohamom lett, megint kimentem a folyosóra üldögéltem, írogattam, le-föl járkáltam, föl-le járkáltam, remegtem belülről és közben NAGYON untam, hogy cselekvési kényszerem van. Fárasztottam magam, komolyan. Az egyik nővér meg is kérdezte valamelyik reggel, hogy "maga a műtét előtt is ilyen kis izgága volt?" Ültem a folyosón, és alig vártam már, hogy jöjjön egy nővér, akitől végre megkérdezhettem, hogy tessék mondani, van ebben az épületben egy pszichológus, mert nagyon idegesítem magam és beszélgetni szeretnék? A válasz sajnos az volt, hogy nincs. Hát ja, ez nem egy wellness-szálló, hogy reggel dr. Czirják-vizit, délben pszichológus-konzultáció, este csokipakolás. :-) Jött a vizit végre, és elpanaszkodtam a Tanár Úrnak, hogy én nem tudom, mi volt a gyógyszeres dobozkában, de szerintem nekem a Xanax pánikrohamot okoz. Ő azt felelete: "- Nem, dehogyis, éppen arra adjuk." De aztán estére már tudtam, melyik a Xanax, és nem vettem be, és láss csodát, nem is keltem hajnalban és a pánikolós-hiperaktivitásom is abbamaradt. De a beszédkényszerem nem hagyott alább.
Egyik reggel vizit után Tanár Úr levette a kötést a fejemről. Meg is néztem nyomban az éjjeliszekrényemben tárolt kistükörben. Megdöbbentem. Mert azt ugyan mondták,hogy a kiborotvált rész kétcentis, de azt nem, hogy ez a szélessége. Az egész délelőttöt a magam fényképezésével töltöttem. Volt, akit mms-ben örvendeztettem meg a látvánnyal. Szerintem simán felajánlhatnám ezt a képet egy black metal zenekarnak lemezborító gyanánt:
Kaptam rengeteg infúziót. Kétfélét. Kaptam vízhajtó és gyomorvédő gyógyszereket. Kaptam trombózis- és embóliaellenes injekciót hashájba. Kaptam Cataflamot, mert nagyon fájt a bal fülem mögötti nyirokcsomós terület, mert állítólag a műtőasztalon olyan szorosan fogatják le az ember fejét, hogy egy tízezredmilliméternyit se tudjon elmozdulni, és nekem valószínűleg nagyon megszorították, ezért begyulladt. Az egészben ez volt a legrosszabb és legfájdalmasabb. Valamint fényérzékeny lett a szemem, szúrt a fény, hunyorogtam, olvasni nem bírtam, így a kórteremben ágyban fekve is napszemüveget viseltem. Vicces látvány lehetett, de muszáj volt. Folyamatosan húzódott az arcom, és vizes ruhát kellett rátennem. Szerencsére más bajom nem volt. Persze azért így utólag sem mondanám azt, hogy nagyobb volt a füstje, mint a lángja, mert azért mélyen legbelül megviselt ez az egész: a félelem, a látvány, a más betegekkel való empátia stb.
Aztán 20-án reggel megvolt a varratszedés. Kétféle varratom volt: szedhető és felszívódó. A szedhetőt Tanár Úr kiszedte a távozásom előtti órában két műtét között, ömlött a vér a homlokomon, de nem fájt egyáltalán. Megkaptam a zárójelentésem, aláírtam az elszámoló nyilatkozatot, fotózkodtam a betegtársaimmal, majd elhagytuk a kórházat 0,1m/órás tempójú sétával kb.
Köszönöm mindannyiótoknak, hogy velem voltatok lélekben, gondolatban, hogy imádkoztatok értem, szurkoltatok nekem, agykontrolloztatok és egyebek!!! Valaki azt írta nekem, hogy annyian leszünk a műtőben, hogy félő, be sem fér mindenki! :-) Hát bizonyára így volt, mert tényleg nagyon gyorsan és szövődmények nélkül felépültem. Persze még testileg gyenge vagyok, idegileg labilis: a legkisebb dolgok kiborítanak, nem kicsit próbára téve a szeretteim idegrendszerét és türelmét. De napról napra tényleg jobban vagyok. Köszönök nektek minden látogatást, támogatást és segítséget!
... és micsoda öröm és bódottág, hogy semmi nem lett igaz abból a sok-sok fenyegetésből és jóslatból, amelyekkel a fehérvári orvosok riogattak! Nem bénultam le féloldalra, nem lettem vak a fél szememre, nem kell tolókocsi, "nem mentek el otthonról". Sőt terveim között szerepel egy látogatás a neurológiára, ahol is megmutatom a zárójelentésem és majd a szövettani eredményt annak a kedves cinikus neurológus hölgynek, hogy lám-lám, mi lett a "szédülgetéseimből"!! :P
December 4-én kell konzultációra és kontrollra mennem a Tanár Úrhoz.
Képek a kórházi tartózkodásomról:
Délig elkészültek az új vizsgálatok, EEG nem volt, pedig kíváncsi lettem volna az agyhullámaimra, sétáltunk a parkban és az udvaron, felfedeztünk egy szép rózsabokrot, üldögéltünk a napsütésben, sokat vihogtam izgatottságomban, sokszor elmentem pisilni a modern épület modern vécéjébe, jöttünk-mentünk, felfedeztük az udvar minden zugát, és elhaladtunk a sokat sejtető elnevezésű tetemtároló előtt is. :-) Délben visszatértünk a "C"-osztályra, és már hozták is az ebédet, amely erőlevesszerű leves volt és LENCSEFŐZELÉK vagdalttal. Pálnak ízlett, nekem egy falat nem ment volna le belőle a torkomon, pedig Horváth Ágnes, egészségügyi miniszterasszony mindent megtett nyilván, hogy az én kedvemben is járjon, de mindhiába... Műtét előtti napon lencsét...???!!! Aznap kettő darab Balaton szelet volt a táplálékom meg egy harapásnyi alma a megfelelő vitaminbevitel miatt. Más dolgunk nem volt, csak várni a délutáni konzílium eredményét, amely alapján kihirdették, kit mikor műtenek. Közben megismerkedtem hmm... (utólag is bocsánat az elnevezésekért, de nekem akkor így tűnt praktikusnak) Adenóma Edittel és Gerinc Piroskával a kórteremtársaimmal. Közben átöltöztem rózsaszín malackának, de nem volt kedvem ágyban feküdni. Hanem azzal múlattuk az időt a párommal, hogy ha kellett, ha nem, átmentünk az új épületszárnyba az ambulanciára jólérezni magunkat, üldögélni, nézelődni. Délután volt még altatóorvosi vizsgálat is. Az altatóorvos doktornő mélyen belenézett a torkomba és megfogta a fülem mögötti csomókat.
Majd jött a konzílium utáni eredményhirdetés, amely szerint másnap másodikként műtenek, éjfélig ihatok, utána már nem, kapok altatót, reggel bátorító injekciót, majd behelyezik az infúziós kanülöket, kapok katétert, fáslit trombózis ellen, és este legyek kedves mossak hajat a fürdőben elhelyezett Betadine-oldattal. Így is lett. Az altató (Dormicum) ellenben nem altatott.
Reggel hordágyra tették Piroskát, megszorongattuk a kezét, adtunk neki puszit, és vitték a műtőbe. Hosszas türelmetlenkedés és sms-írogatás után le-föl mászkáltam a folyosón, beszélgettem már műtött nőkkel, kérdezgettem a nővéreket, hogy mikor kapok már én is bátorítót, mert ideges vagyok ám, és történjen már végre valami, mert úgy csinálnék már valamit, legalább hadd borotváljam le a hajam vagy bármi. Aztán végre megkaptam azt az injekciót, amitől nem lettem bátor, hanem pont fordítva, sőt semmilyen hatással nem volt rám. Szóval engem az altató nem altat, a bátorító nem nyugtat, viszont a Xanax-szal lettek érdekes kalandjaim, de erről később. :-)
Végre-végre-végre jött a nővérke, befáslizta a lábaim, feltette a katétert, amely felhelyezésétől igencsak tartottam, ámde a brutális szülésemhez képest ez a művelet meg se kottyant. Innetől kezdve csak feküdnöm volt szabad. Körülbelül 10 óra felé jött értem a jókedélyű beteghordó fiatalember a hordággyal. Sovánka volt nagyon szegény, kicsit aggódtam a testi épségéért, ezért elárultam neki, hogy nyolcvanhárom kiló vagyok, úgy vigyázzon magára! Teljesen ruha nélkül a nyakába kapaszkodtam, felpenderített az ágyra, a karjaimat a testem mellé szíjazta, rámdobott egy lepedőt és megindult a folyosó-rally.
Betolt az előkészítő helyiségbe, itt áttett egy másik fiatalember egy másik ágyra, majd továbbtoltak. Bőven volt időm vacogni, mennyezetet nézni, a mellettem elsuhanó műtősök fejetetejét perifériás látásommal észlelni. Továbbtoltak ismét, körülöttem tettek-vettek, papíroztak, végül üdvözölt az altatóorvosnő. Kaptam kézfejbe injekciót, és közölte, hogy a tőlem balra lévő dugattyűszerű izé ötöt fog összedugattyúzódni, és elalszom. Kettőig számoltam. :-)
Haloványan rémlik, hogy valakinek fennhangon szavalom, hogy kővárigabriellavagyok, ezerkilencszázhetvennégy-márciusötödikénszülettem, budapestenvagyok és agyműtétrejöttem.
Aztán a következő kép, hogy Szélhasító Pál csiklandozza a bal talpam és én ettől borzasztóan dühös vagyok, mert nem bírom hangosan mondani, hogy ne csinálja. Minden erőmet összeszedve kikínlódtam magamból valami hasonló értelmű mondatot, amelynek ő örült. Majd jött Czirják Tanár Úr is, és megkért rá, hogy mozgassam meg a lábaimat és a karjaimat. Minden rendben volt. Nem emlékszem rá, de tudom, hogy anyukám is volt benn az intenzív osztályon. A híresztelésekkel szemben VAN látogatás ott is! Pál kétszer is bejött. Az intenzíven töltött idő mennyiségét nem érzékeltem, de arra intenzíven emlékszem, hogy a mellettem fekvő, az ápolók által "Zsoltikának" nevezett fiú folyamatosan tépte ki magából az infúziót, törte össze az összetörhető dolgokat, és nagyon ideges volt rá a személyzet. Kaptam fájdalomcsillapítókat, mert nagyon fájt a derekam és a hátam a merev hanyattfekvéstől. Az éjszakát nem kellett az intenzíven töltenem, mert hirtelen kellett a hely, és engem tartottak a legeltávolíthatóbbnak.
Papírozás, hordágyról hordágyra pakolás, orvosok és műtősök viccelődéseinek hallgatása, észrevettem, hogy az egyik orvosnak ekcémás a könyöke, liftezés, tologatás, papírozás, B-osztály, nővéreknek átadás, papírozás, ágybatevés. A B-osztáy valamivel modernebb, mint a C, ahová nem vittek vissza, mert a helyem elfoglalta egy újonnan érkezett, műtétre váró nő. A B-n egy 22 éves hipotalamuszos lány feküdt és nézett tévét, amelyből én csak a hangot hallottam. Nem tudom ti hogy gondoljátok, de szerintem NAGYON DURVA, ha agyműtét után végighallgattatják az egész ertéelklubos-tévékettős esti műsorfolyamot az aktívtól a barátokköztön át a vészhelyzetig, grészklinikáig és tovább hajnali kettőig. Én ettől nem aludtam, a lány pedig az ágyam mellett megállás nélkül iszonyatosan idegtépő frekvencián sípoló szív- és egyéb életfunkcióimat figyelő monitortól. Úgy volt beállítva, hogy amint megmoccantam, máris csipogott. EGÉSZ ÉJJEL nem aludtam egy szemhunyásnyit sem, mert folyton sípoltam.
Az éjszakás nővér roppant ideges volt miattam, állandóan beszaladgált, hogy mi van már, miért 120 fölötti a pulzusom folyamatosan. Szerinte nem kellett volna kiengedni engem az intenzívről, ha ilyen rossz állapotban vagyok. Szólt az éjszakás orvosnőnek is, aki viszont nem úgy gondolta, hogy baj volna velem. Az éjszakás nővérke reggel felé közölte, hogy SZERINTE ha végeztem ezzel az egésszel az OITI-ben, menjek el otthon a körzetimhez és kérjek belgyógyászati kivizsgálásra beutalót, mert szerinte súlyos szívbeteg vagyok, azért csipog ennyire a gép és azért ilyen ROSSZAK az értékeim. Szerintem messze túllépte a hatáskörét... Na mindegy. (Később azért erre rákérdeztem a Tanár Úrnál, de ő nem gondolta, hogy szükséges lenne efféle kivizsgálás.)
Hajnal felé nyakonhánytam magam. A nővér azt mondta, ne mocorogjak, ne feküdjek oldalra, türelem-nyugalom, csak háton szabad. Éreztem, hogy valami nagyon megindul a gyomrom felől, de a nővér éppen sehol sem volt, hogy szólni tudtam volna, ezért hát aminek ki kellett jönnie, ki is jött... Amikor visszaért, rosszallóan csóválta a fejét, majd adott egy összehajtogatott lepedőt, hogy azzal törölgessem meg magam. Beinfúziózott kézfejjel azért ez elég nehéz mutatvány volt. Reggel hét órakor jött a nővérek műszakváltása, átadtak engem is az újaknak. Az éjszakás nővér beszámolt róla, hogy rosszalkodott a szívem, százhúszas-százharmincas pulzus, estébé, estébé. A reggeles nővér kicsit tűnődött, majd KIKAPCSOLTA az akkor már körülbelül 11 órája megállás nélkül borzalmasan hangosan csipogó monitort!!! :D Sőt, megengedte, hogy oldalra is feküdjek akár.
Reggelire kaptam vizet és egy szelet kenyeret. A nővérek poénkodtak, hogy ez ám a diéta! Közben sikerült egy kicsit elbóbiskolnom. Később hátulkötős, fenékvillantós kórházi hálóinget kaptam, jött egy, a tegnapinál is vékonkább-sovánkább fiú, felnyalábolta a pisis-zacsit, majd engem is átpakolt a hordágyra és elrobogott velem a régi jó C-osztályra.
A napok rutinszerűen teltek: hajnalban orgonás-levendulás légfrissítőillatú takarítás, láz- és vérnyomásmérés (általában 100 vagy 90/60!!!), infúzióbekötés, tablettaevés, vizit, "reggeli", látogatók, infúzióbekötés, "ebéd", vizit, látogatók, csokievés, "vacsora", napközben hosszas beszélgetések kedves kórteremtársaimmal. A harmadik napon kivették a katétert is, innentől kezdve szabadon jártam-keltem a folyosókon és a többi kórteremben beszélgettem a betegekkel. Felfedeztem magamban egy képességet: mindenkihez tudok csak neki szóló mondatokat mondani, és odafigyelve hallgatni. Nem volt megállás: ki-be mászkáltam a férfiak és a többi nő termébe és a folyosókra, lelket önteni a betegekbe, hozzátartozókba, újonnan érkezett rémültekbe.
Esténként az éjszakás nővér hozta a csodabogyós készletét, és megkínált mindenkit az általa óhajtott tablettából, altatóból, nyugtatóból, ízlés szerint ki mit kért. Hát szóval érdekes ám, hogy küzdünk mindenféle relaxációs, meditációs technikákkal, miközben - jelentem - a gyógyszeripar fantasztikus lazítószerekkel állt már elő! :-)
Már akinek... mondjuk. Én a műtétet követően hiperaktív lettem. A szónak abban a klasszikus értelmében, amit nem a szüleiket és tanáraikat idegesítő, eleven gyerekekre mondanak, hanem úgy istenigazából.
Hajnali kettőkor magamtól ébredtem frissen, üdén, kipihenten, egyfolytában ficeregtem, fészkalódtam, izegtem-mozogtam, egy pillanatra nem álltam le, felültem, visszafeküdtem, felültem, párnát igazgattam, kitakaróztam, betakaróztam, oldalra feküdtem, hanyatt feküdtem, rögtön a másik oldalamra, majd pakolgattam ezt-azt az éjjeliszekrényen, megállás nélkül beszéltem, tettem-vettem, kimentem húszszor vécére, visszamentem, leültem a folyosón, visszafeküdtem, és nem kaptam levegőt, hiába is akartam jó mélyet lélegezni, úgy éreztem, nem tudok elég levegőt venni a tüdőmbe, aztán iszonyúan szapora volt a szívverésem, hallottam, ahogy dörömböl a mellkasomban, kinyitottam az ablakot, becsuktam, kinyitottam megint, menekülési rohamom lett, megint kimentem a folyosóra üldögéltem, írogattam, le-föl járkáltam, föl-le járkáltam, remegtem belülről és közben NAGYON untam, hogy cselekvési kényszerem van. Fárasztottam magam, komolyan. Az egyik nővér meg is kérdezte valamelyik reggel, hogy "maga a műtét előtt is ilyen kis izgága volt?" Ültem a folyosón, és alig vártam már, hogy jöjjön egy nővér, akitől végre megkérdezhettem, hogy tessék mondani, van ebben az épületben egy pszichológus, mert nagyon idegesítem magam és beszélgetni szeretnék? A válasz sajnos az volt, hogy nincs. Hát ja, ez nem egy wellness-szálló, hogy reggel dr. Czirják-vizit, délben pszichológus-konzultáció, este csokipakolás. :-) Jött a vizit végre, és elpanaszkodtam a Tanár Úrnak, hogy én nem tudom, mi volt a gyógyszeres dobozkában, de szerintem nekem a Xanax pánikrohamot okoz. Ő azt felelete: "- Nem, dehogyis, éppen arra adjuk." De aztán estére már tudtam, melyik a Xanax, és nem vettem be, és láss csodát, nem is keltem hajnalban és a pánikolós-hiperaktivitásom is abbamaradt. De a beszédkényszerem nem hagyott alább.
Egyik reggel vizit után Tanár Úr levette a kötést a fejemről. Meg is néztem nyomban az éjjeliszekrényemben tárolt kistükörben. Megdöbbentem. Mert azt ugyan mondták,hogy a kiborotvált rész kétcentis, de azt nem, hogy ez a szélessége. Az egész délelőttöt a magam fényképezésével töltöttem. Volt, akit mms-ben örvendeztettem meg a látvánnyal. Szerintem simán felajánlhatnám ezt a képet egy black metal zenekarnak lemezborító gyanánt:
Kaptam rengeteg infúziót. Kétfélét. Kaptam vízhajtó és gyomorvédő gyógyszereket. Kaptam trombózis- és embóliaellenes injekciót hashájba. Kaptam Cataflamot, mert nagyon fájt a bal fülem mögötti nyirokcsomós terület, mert állítólag a műtőasztalon olyan szorosan fogatják le az ember fejét, hogy egy tízezredmilliméternyit se tudjon elmozdulni, és nekem valószínűleg nagyon megszorították, ezért begyulladt. Az egészben ez volt a legrosszabb és legfájdalmasabb. Valamint fényérzékeny lett a szemem, szúrt a fény, hunyorogtam, olvasni nem bírtam, így a kórteremben ágyban fekve is napszemüveget viseltem. Vicces látvány lehetett, de muszáj volt. Folyamatosan húzódott az arcom, és vizes ruhát kellett rátennem. Szerencsére más bajom nem volt. Persze azért így utólag sem mondanám azt, hogy nagyobb volt a füstje, mint a lángja, mert azért mélyen legbelül megviselt ez az egész: a félelem, a látvány, a más betegekkel való empátia stb.
Aztán 20-án reggel megvolt a varratszedés. Kétféle varratom volt: szedhető és felszívódó. A szedhetőt Tanár Úr kiszedte a távozásom előtti órában két műtét között, ömlött a vér a homlokomon, de nem fájt egyáltalán. Megkaptam a zárójelentésem, aláírtam az elszámoló nyilatkozatot, fotózkodtam a betegtársaimmal, majd elhagytuk a kórházat 0,1m/órás tempójú sétával kb.
Köszönöm mindannyiótoknak, hogy velem voltatok lélekben, gondolatban, hogy imádkoztatok értem, szurkoltatok nekem, agykontrolloztatok és egyebek!!! Valaki azt írta nekem, hogy annyian leszünk a műtőben, hogy félő, be sem fér mindenki! :-) Hát bizonyára így volt, mert tényleg nagyon gyorsan és szövődmények nélkül felépültem. Persze még testileg gyenge vagyok, idegileg labilis: a legkisebb dolgok kiborítanak, nem kicsit próbára téve a szeretteim idegrendszerét és türelmét. De napról napra tényleg jobban vagyok. Köszönök nektek minden látogatást, támogatást és segítséget!
... és micsoda öröm és bódottág, hogy semmi nem lett igaz abból a sok-sok fenyegetésből és jóslatból, amelyekkel a fehérvári orvosok riogattak! Nem bénultam le féloldalra, nem lettem vak a fél szememre, nem kell tolókocsi, "nem mentek el otthonról". Sőt terveim között szerepel egy látogatás a neurológiára, ahol is megmutatom a zárójelentésem és majd a szövettani eredményt annak a kedves cinikus neurológus hölgynek, hogy lám-lám, mi lett a "szédülgetéseimből"!! :P
December 4-én kell konzultációra és kontrollra mennem a Tanár Úrhoz.
Képek a kórházi tartózkodásomról:
![]() |
| OITI 2008 10 13-20 |
Adminisztráció
Ma reggel nem bírtam tovább, és telefonáltam. Tanár Úrnak még "láttamoznia" kell a szövettani eredményt, és majd csak azt követően postázzák. Telefonon nem adhatnak felvilágosítást sem a daganat típusáról, sem jó- vagy rosszindulatúságáról, szíves megértésemet kérik. Megértettem. Szívesen.
2008. október 29., szerda
15 napos vagyok
Várom a postást a szövettan-eredményes küldeménnyel, és ha megérkezett, megírom a kórházi élményeimet.
2008. október 24., péntek
Utazás a koponyám körül (audio CD)
Szerző: Karinthy Frigyes
Előadó: Latinovits Zoltán
A regény valóságosan megtörtént eseményekről, személyes tapasztalatokról szól: saját agyműtétének körülményeit beszéli el az író. Művészetének általánossá, egyetemes emberi élménnyé emeli az operációt, a betegség történetét. Az író a Centrál kávéházban vonatdübörgést hall, halucinál. Ezt fejfájás, ájulás követi, de sem ő, sem orvosai nem gondolnak komoly betegségre. Barátságos beszélgetések, egy filmélmény és feleségével együtt tett klinikai látogatás ébresztik fel gyanúját: agydaganata van. Az öndiagnózis helyesnek bizonyul. A vakság, a biztos halál és némi reménnyel kecsegtető műtét között nem nehéz a választás. Elutazik Stockholmba, a kor legnevesebb agysebészéhez, Olivecrona professzorhoz. Különlegesen izgalmas, nagyszerű az elbeszélés csúcspontja: a műtét leírása, melyet egyszerre szenved belülről, és szemlél kívülről az író. Az operáció utáni, téren és időn kívüli állapotból, a szürkeségből a fényhez, az élethez visszatérő ember örömével, büszkeségével zárul a mű.
Forrás: Legeza Ilona könyvismertetői
2008. október 22., szerda
Gabi elhagyhatta a kórházat!
Kedves barátok!
Gabim már Fehérváron van.
Nagymamánál pihen. Csönd és nyugalom amire szüksége van!
Egyenlőre még az evés is kimeríti!
Pár hét és a kislányával lehet ismét!
Mamánál nincs gép. De az most sok is lenne neki.
Köszönet mindenért.
Gabim már Fehérváron van.
Nagymamánál pihen. Csönd és nyugalom amire szüksége van!
Egyenlőre még az evés is kimeríti!
Pár hét és a kislányával lehet ismét!
Mamánál nincs gép. De az most sok is lenne neki.
Köszönet mindenért.
![]() |
| Műtét -Gabi egy hete. Szélhasító Pál fényképei |
2008. október 16., csütörtök
A rendszer újra indult! :-)
Nem volt semmi probléma.
Hőemelkedést-hányingert leszámítva.
A kötés alatt van a nagy vágás.
Skalpolás!
No, de tényleg jól van ám.
Nagyon erős!
Látogatás: DE 11,00-13,00
DU 16,00-19,00
C osztály Laky Adolf utca felől lehet bemenni
2008. október 14., kedd
Megvolt a műtét!
Röviden írok!
Délig megvolt a műtét.
Láthattam az intenzíven. Megismert. 12,30
Beszéltem a tanárúrral, és megnyugtatott.
Ha nincs szövődmény akkor várhatólag minden rendben.
17,00-kor tudtunk pár mondatot beszélni.
Este hívtam az intenzívet. Átvitték az osztályra.
A holnap délutáni vizit után tudok pontsat írni.
Üdv:Szélhasító
Délig megvolt a műtét.
Láthattam az intenzíven. Megismert. 12,30
Beszéltem a tanárúrral, és megnyugtatott.
Ha nincs szövődmény akkor várhatólag minden rendben.
17,00-kor tudtunk pár mondatot beszélni.
Este hívtam az intenzívet. Átvitték az osztályra.
A holnap délutáni vizit után tudok pontsat írni.
Üdv:Szélhasító
2008. október 13., hétfő
2008. október 12., vasárnap
Újraindíttatom a rendszerem
Köszönöm nektek, hogy figyelemmel kísértétek a sorsom blogban megjelenő lenyomatát. Kérlek Benneteket, ne haragudjatok, ha nem válaszoltam a leveleitekre, vagy éppen nem mentem látogatóba. Már nem maradt rá időm sajnos, de minden nap gondoltam rá, hogy kellene. Köszönöm, hogy velem vagytok! És hogy vagytok. A fejbéli események további alakulásáról párom, Szélhasító Pál fog majd írni.
2008. október 11., szombat
Sicko
Úgy belelendültem ebbe a "dejónekünkmagyaroknak" témába, hogy idelinkelem a SICKO c. filmet, ha valaki még nem látta volna. Ezt írja róla a PORT.HU:
A film több átlagos amerikai állampolgár ügyének bemutatásával nyit, akiknek életét szétzilálta, tönkretette - és néhány esetben bevégezte -, valamiféle egészségügyi ellátási katasztrófa, így nyilvánvalóvá válik, hogy a válság nem csupán azt a 47 millió polgárt érinti, akik biztosítás nélkül élnek, hanem azokat is, akik lelkiismeretesen fizetik járandóságaikat, ám a bürokrácia bármikor lesújthat rájuk is. Miután bemutatja, hogyan is került ilyen szörnyű állapotba a rendszer (a rövid válasz a profittermelés és Nixon elnöksége), a rendező magával visz minket egy földkörüli útra, amely során olyan országokat is meglátogatunk, mint Kanada, Nagy-Britannia és Franciaország, ahol minden állampolgár alanyi jogon részesül ingyenes egészségügyi ellátásban. Végezetül Moore a 9/11-es katasztrófa hőseinek egy csoportját gyűjti maga köré - olyan mentőmunkásokat, akik ma immunrendszeri betegségekben szenvednek, ám az Egyesült Államokban megtagadják tőlük a megfelelő orvosi ellátást. A rendező a legváratlanabb helyre viszi el ezeket az embereket, ahol, amellett, hogy megfelelő ellátásban részesülnek, diplomáciai bonyodalom részesei is lesznek.
Bár a SiCKO ugyanazon a provokatív és szenzációvadász ösvényen jár, mint a rendező előző filmsikerei, az Oscar-díjas KÓLA, PUSKA, SÜLTKRUMPLI és minden idők legsikeresebb dokumentumfilmje, a FAHRENHEIT 9/11, mégis valami egészen mást jelent Michael Moore számára. SiCKO az ostoba és néha kegyetlen amerikai egészségügyi ellátási rendszer szívvel-lélekkel felvázolt portréja, olyan emberek nézőpontjából elmesélve, akiknek egészen különleges és bizarr kihívásokkal kellett megküzdeniük azért, hogy a nekik kijáró ellátásban részesülhessenek. Mark Twain és a híres amerikai komikus és társadalomkritikus, Will Rogers nyomdokaiban járva a SiCKO a humort használja eszközéül ahhoz, hogy megejtő történeteket meséljen el nekünk, és ahhoz, hogy rávezesse közönségét arra, hogy egy alternatív ellátási rendszer az egyetlen megoldás a problémára.
SICKO
A film több átlagos amerikai állampolgár ügyének bemutatásával nyit, akiknek életét szétzilálta, tönkretette - és néhány esetben bevégezte -, valamiféle egészségügyi ellátási katasztrófa, így nyilvánvalóvá válik, hogy a válság nem csupán azt a 47 millió polgárt érinti, akik biztosítás nélkül élnek, hanem azokat is, akik lelkiismeretesen fizetik járandóságaikat, ám a bürokrácia bármikor lesújthat rájuk is. Miután bemutatja, hogyan is került ilyen szörnyű állapotba a rendszer (a rövid válasz a profittermelés és Nixon elnöksége), a rendező magával visz minket egy földkörüli útra, amely során olyan országokat is meglátogatunk, mint Kanada, Nagy-Britannia és Franciaország, ahol minden állampolgár alanyi jogon részesül ingyenes egészségügyi ellátásban. Végezetül Moore a 9/11-es katasztrófa hőseinek egy csoportját gyűjti maga köré - olyan mentőmunkásokat, akik ma immunrendszeri betegségekben szenvednek, ám az Egyesült Államokban megtagadják tőlük a megfelelő orvosi ellátást. A rendező a legváratlanabb helyre viszi el ezeket az embereket, ahol, amellett, hogy megfelelő ellátásban részesülnek, diplomáciai bonyodalom részesei is lesznek.
Bár a SiCKO ugyanazon a provokatív és szenzációvadász ösvényen jár, mint a rendező előző filmsikerei, az Oscar-díjas KÓLA, PUSKA, SÜLTKRUMPLI és minden idők legsikeresebb dokumentumfilmje, a FAHRENHEIT 9/11, mégis valami egészen mást jelent Michael Moore számára. SiCKO az ostoba és néha kegyetlen amerikai egészségügyi ellátási rendszer szívvel-lélekkel felvázolt portréja, olyan emberek nézőpontjából elmesélve, akiknek egészen különleges és bizarr kihívásokkal kellett megküzdeniük azért, hogy a nekik kijáró ellátásban részesülhessenek. Mark Twain és a híres amerikai komikus és társadalomkritikus, Will Rogers nyomdokaiban járva a SiCKO a humort használja eszközéül ahhoz, hogy megejtő történeteket meséljen el nekünk, és ahhoz, hogy rávezesse közönségét arra, hogy egy alternatív ellátási rendszer az egyetlen megoldás a problémára.
SICKO
Böngészgetek, míg a kislányom alszik, és ezeket találtam:
Agy-gyógyulás
Minden tünetet a terhességhez kapcsoltam és én tulajdonképpen nem tudtam,hogy hülyeségeket beszélek.Ez júl.31.-én vált valóságossá amikor a szüleimnél elmeséltem egy olyan történetet amin a családtagjaim nagyon csodálkoztak.Valószínűleg a nagy meleg miatt a nyomás a fejemben ekkor nőtt meg annyira ,hogy komoly tüneteket okozott.Előtte is volt hogy szavakat elfeelejtettem,de mivel jó beszélőkém van)))),ezért pontosan körül tudtam írni milyen tárgyra gondolok.
A Magyar Rákellenes Liga betegklubot szervez agydaganatosoknak.
A klub célja: segítséget nyújtani egymásnak. A betegség sok kérdést vet fel a műtétről, kezelésről, gyógyításról, fájdalomcsillapításról, a megváltozott körülményekről, életmódról, táplálkozásról. A felmerülő kérdésekre a klubba meghívott neves szakemberek, idegsebészek, pszichológusok, gyógyszerészek, gyógytornászok, dietetikusok válaszolnak majd, valamint beszámolnak a legkorszerűbb beavatkozásokról, gyógymódokról, gyógyszerekről. A klubfoglalkozásokat egy-egy színvonalas művészi produkcióval is színesítjük. Az első, alakuló összejövetelt október 28-án, kedden tartjuk, 14 órától az Országos Onkológiai Intézet Tükörtermében.
és végül, hogy tényleg milyen jó, hogy nem vagyunk amerikaiak:
NOBODY CAN AFFORD A BRAIN TUMOR...
Minden tünetet a terhességhez kapcsoltam és én tulajdonképpen nem tudtam,hogy hülyeségeket beszélek.Ez júl.31.-én vált valóságossá amikor a szüleimnél elmeséltem egy olyan történetet amin a családtagjaim nagyon csodálkoztak.Valószínűleg a nagy meleg miatt a nyomás a fejemben ekkor nőtt meg annyira ,hogy komoly tüneteket okozott.Előtte is volt hogy szavakat elfeelejtettem,de mivel jó beszélőkém van)))),ezért pontosan körül tudtam írni milyen tárgyra gondolok.
A Magyar Rákellenes Liga betegklubot szervez agydaganatosoknak.
A klub célja: segítséget nyújtani egymásnak. A betegség sok kérdést vet fel a műtétről, kezelésről, gyógyításról, fájdalomcsillapításról, a megváltozott körülményekről, életmódról, táplálkozásról. A felmerülő kérdésekre a klubba meghívott neves szakemberek, idegsebészek, pszichológusok, gyógyszerészek, gyógytornászok, dietetikusok válaszolnak majd, valamint beszámolnak a legkorszerűbb beavatkozásokról, gyógymódokról, gyógyszerekről. A klubfoglalkozásokat egy-egy színvonalas művészi produkcióval is színesítjük. Az első, alakuló összejövetelt október 28-án, kedden tartjuk, 14 órától az Országos Onkológiai Intézet Tükörtermében.
és végül, hogy tényleg milyen jó, hogy nem vagyunk amerikaiak:
NOBODY CAN AFFORD A BRAIN TUMOR...
2 nappal előtte
Még kettőt kell aludni, és 13-án reggel nyolcra megyünk az Amerikai útra. Aznap vizsgálatok, és talán kedden műtét. Olvasom Lance könyvét. Olvasmánynak, "regénynek" nagyon érdekesnek tartom, de erőt meríteni én belőle nem tudok. Harc! Háború! Küzdelem! Fel! Támadás! Legyőzöd! Megcsinálod! Erős vagy! Mozgás! Ez az! Gyerünk! Na hát tőlem ez a fajta harcos, ellenséglegyűrő tüzes optimizmus teljesen távol áll. Én nem tudok küzdeni a szó klasszikus, homlokér-kidagasztó, izzadságos értelmében. Nem-nem, én nem állok ellen a gonosznak! ;-) Alázattal vallom: legyen úgy, ahogy lennie kell. Én belesimulni szeretek/tudok a történésekbe. Nekem az élet nem küzdelem, hanem átélés. Teljesen más nézőpont. Azt írja, neki a bringázás munka, megélhetés és nem szeretetből kerékpározik. Nekem a bringázás... - hmm... amikor még bringáztam, ugye... - "vallásos" élmény, misztikus révület. És itt be is fejezem az össze nem hasonlítható dolgok teljesen felesleges összehasonlítását. A könyv tényleg nagyon olvasmányos, és remek, hogy Lance meggyógyult!! Ha a Jóisten úgy akarja, én is meg fogok.
Viszont örvendjünk mégiscsak a magyarországi egészségügyi állapotnak, annak, ami maradt belőle, mert míg Lance Armstrongnak gondot okozott, hogy nem volt biztosítása, nekünk magyaroknak egyelőre óriási szerencsénk van, és egy agydaganat-műtét nem viszi csődbe a családot! Valami ilyesmi történt egy másik híres emberrel, egy zenésszel, Chuck Schuldiner-rel 2001-ben.
És tényleg úgy van ám, hogy amit figyelmünk fókuszában tartunk, az lépten-nyomon visszaköszön érdekes egybeesések, véletlenek képében. Amikor várandós voltam, csak pocakos emberek jöttek velem szembe az utcán, ha bekapcsoltam a tévét, kinyitottam egy újságot, böngészgettem a netet, egészen biztosan kismamás-születéses-szüléses témákra akadtam. Most pedig... Történt, hogy 2 hete hétvégén tekertem egy (nem spanglit, nem), hanem egy Fehérvár-Sukoró távolságot. Beöltöztem kerékpárosnak, és tettem egy hmm... kővárigabi emléktúrát. :-)
Távolabbra igyekeztem, konkrétan egy Velencei-tó körre, de aztán Sukorónál megállított a szomjúságom és vizet vételeztem a nyomós kútból. Kijött a kút mögötti házból egy néni, és ő is ezt tette. Kortyolgatom a vizet, nézegetem a tavat, a tájat. A néni rámnézett, én meg megszólítottam, hogy milyen jó lehet annak, aki itt él. A néni mondta, hogy nem ő lakik itt, csak segít a lányának rendbentartani ezt a nagy házat, holott nem kellene erőltetnie magát, mert gerincsérvvel műtötték pár éve az Amerikai úton. Megállt a kulacs a kezemben. Beszélgettünk, és kiderült, hogy a néni férje agydaganatban halt meg 9 évi műtétsorozatot követően. A harminegynéhány éves unokájának pedig pár éve volt agydaganatműtéte, hamarosan megint megy kontrollra.
Az is érdekes eset volt, amikor egyik szombaton párom edzésre ment, Bori, anyukám és én kimentünk az Ingó-kövekhez kirándulni. Kitaláltuk, hogy megnézzük, van-e még lángosos a Velencei-tónál, de aztán már a kocsiban ülve jött egy hirtelen késztetés, hogy inkább sajtburgert kell ennem most rögtön. Igen, a gyomorrákra is elkezdtem gyúrni... ehm-ehm... :-)) A mekiben álltam a pultnál, anyukám ölében Bori vadul integetett felém és kabált, hogy ana-ana. Mellettem állt egy idősebb nő. Kérdezte, mennyi idős a kicsi. Mondtam, 13 hónapos múlt. A hölgy elsírta magát, és azt mondta, nem tudja, lesz-e neki is valaha unokája, mert júniusban műtötték a 30 éves lányát agydaganattal, és most egy hároméves gyerek értelmi és testi szintjén van, újratanul járni és beszélni.
Péntek reggel vidám dolgokkal kívántam foglalkozni, míg Bori alszik, és bekapcsoltam a televíziós készüléket Ally McBeal-megtekintési szándékkal. Ez egy vicces sorozat, amikor még évtizedekkel ezelőtt ment a magyar egyen, tetszett nagyon. Nem fogjátok kitalálni, de a pénteki történet szereplője egy férfi volt, akit perbe fogtak a felesége megöléséért, mert a fickó a felesége feje helyére egy labdát hallucinált. Rövidesen kiderült, hogy olyan agydaganata van, amely a látásért felelős területet nyomja. Vidám reggel, tessék!
Aztán azon a napon, amikor teleraktam a blogot videókkal, beugrott, hogy milyen régen hallgattam régi nagy kedvencemet, a Dream Theater-t, és főleg az egyik legkedvencebb számomat, az Another Day-t. Nyomban be is linkeltem ide, hogy más is lássa-hallja, milyen nagyot alkotott a kilencvenes évek elején ez a zenekar. Már a blogról néztem meg a klipet, és majdnem megállt a szívem, amikor feltűnt a videón az agy-CT-képsorozat. Gondolom, észrevettétek ti is.
Naszóval kezdem már egy kicsit unni ezt a bevonzás-témát. :-) Úgyhogy örülök is, hogy telik az idő. És nem utolsósorban: teljesül egy régi-régi kívánságom, mert végre ki fogom magam pihenni. A szülés előtt óta most lesz először alkalmam egybefüggően hat-nyolc órát aludni. :-)
Viszont örvendjünk mégiscsak a magyarországi egészségügyi állapotnak, annak, ami maradt belőle, mert míg Lance Armstrongnak gondot okozott, hogy nem volt biztosítása, nekünk magyaroknak egyelőre óriási szerencsénk van, és egy agydaganat-műtét nem viszi csődbe a családot! Valami ilyesmi történt egy másik híres emberrel, egy zenésszel, Chuck Schuldiner-rel 2001-ben.
És tényleg úgy van ám, hogy amit figyelmünk fókuszában tartunk, az lépten-nyomon visszaköszön érdekes egybeesések, véletlenek képében. Amikor várandós voltam, csak pocakos emberek jöttek velem szembe az utcán, ha bekapcsoltam a tévét, kinyitottam egy újságot, böngészgettem a netet, egészen biztosan kismamás-születéses-szüléses témákra akadtam. Most pedig... Történt, hogy 2 hete hétvégén tekertem egy (nem spanglit, nem), hanem egy Fehérvár-Sukoró távolságot. Beöltöztem kerékpárosnak, és tettem egy hmm... kővárigabi emléktúrát. :-)
Távolabbra igyekeztem, konkrétan egy Velencei-tó körre, de aztán Sukorónál megállított a szomjúságom és vizet vételeztem a nyomós kútból. Kijött a kút mögötti házból egy néni, és ő is ezt tette. Kortyolgatom a vizet, nézegetem a tavat, a tájat. A néni rámnézett, én meg megszólítottam, hogy milyen jó lehet annak, aki itt él. A néni mondta, hogy nem ő lakik itt, csak segít a lányának rendbentartani ezt a nagy házat, holott nem kellene erőltetnie magát, mert gerincsérvvel műtötték pár éve az Amerikai úton. Megállt a kulacs a kezemben. Beszélgettünk, és kiderült, hogy a néni férje agydaganatban halt meg 9 évi műtétsorozatot követően. A harminegynéhány éves unokájának pedig pár éve volt agydaganatműtéte, hamarosan megint megy kontrollra.
Az is érdekes eset volt, amikor egyik szombaton párom edzésre ment, Bori, anyukám és én kimentünk az Ingó-kövekhez kirándulni. Kitaláltuk, hogy megnézzük, van-e még lángosos a Velencei-tónál, de aztán már a kocsiban ülve jött egy hirtelen késztetés, hogy inkább sajtburgert kell ennem most rögtön. Igen, a gyomorrákra is elkezdtem gyúrni... ehm-ehm... :-)) A mekiben álltam a pultnál, anyukám ölében Bori vadul integetett felém és kabált, hogy ana-ana. Mellettem állt egy idősebb nő. Kérdezte, mennyi idős a kicsi. Mondtam, 13 hónapos múlt. A hölgy elsírta magát, és azt mondta, nem tudja, lesz-e neki is valaha unokája, mert júniusban műtötték a 30 éves lányát agydaganattal, és most egy hároméves gyerek értelmi és testi szintjén van, újratanul járni és beszélni.
Péntek reggel vidám dolgokkal kívántam foglalkozni, míg Bori alszik, és bekapcsoltam a televíziós készüléket Ally McBeal-megtekintési szándékkal. Ez egy vicces sorozat, amikor még évtizedekkel ezelőtt ment a magyar egyen, tetszett nagyon. Nem fogjátok kitalálni, de a pénteki történet szereplője egy férfi volt, akit perbe fogtak a felesége megöléséért, mert a fickó a felesége feje helyére egy labdát hallucinált. Rövidesen kiderült, hogy olyan agydaganata van, amely a látásért felelős területet nyomja. Vidám reggel, tessék!
Aztán azon a napon, amikor teleraktam a blogot videókkal, beugrott, hogy milyen régen hallgattam régi nagy kedvencemet, a Dream Theater-t, és főleg az egyik legkedvencebb számomat, az Another Day-t. Nyomban be is linkeltem ide, hogy más is lássa-hallja, milyen nagyot alkotott a kilencvenes évek elején ez a zenekar. Már a blogról néztem meg a klipet, és majdnem megállt a szívem, amikor feltűnt a videón az agy-CT-képsorozat. Gondolom, észrevettétek ti is.
Naszóval kezdem már egy kicsit unni ezt a bevonzás-témát. :-) Úgyhogy örülök is, hogy telik az idő. És nem utolsósorban: teljesül egy régi-régi kívánságom, mert végre ki fogom magam pihenni. A szülés előtt óta most lesz először alkalmam egybefüggően hat-nyolc órát aludni. :-)
2008. október 9., csütörtök
Fegyverben réved fönn a téli ég,
kemény a menny és vándor a vidék,
halkul a hó, megáll az elmenő,
lehellete a lobbant keszkenő.
Hol is vagyok? Egy szalmaszál nagyon
helyezkedik a csontozott uton;
kis, száraz nemzet; izgágán szuszog,
zuzódik, zizzen, izzad és buzog.
De fönn a hegyen ágyat bont a köd,
mint egykor melléd: mellé leülök.
Bajos szél jaját csendben hallgatom,
csak hulló hajam repes vállamon.
Óh szív! nyugodj! Vad boróka hegyén
szerelem szólal, incseleg felém,
pirkadó madár, karcsu, koronás,
de áttetsző, mint minden látomás.
kemény a menny és vándor a vidék,
halkul a hó, megáll az elmenő,
lehellete a lobbant keszkenő.
Hol is vagyok? Egy szalmaszál nagyon
helyezkedik a csontozott uton;
kis, száraz nemzet; izgágán szuszog,
zuzódik, zizzen, izzad és buzog.
De fönn a hegyen ágyat bont a köd,
mint egykor melléd: mellé leülök.
Bajos szél jaját csendben hallgatom,
csak hulló hajam repes vállamon.
Óh szív! nyugodj! Vad boróka hegyén
szerelem szólal, incseleg felém,
pirkadó madár, karcsu, koronás,
de áttetsző, mint minden látomás.
Töltsétek le tényleg!!
http://www.zshare.net/download/70204895c2625a/
Ágnes Vanilla - József Attila 2005
-------------------------------------
01. „TALÁN ELTŰNÖK HIRTELEN” (3:36)
02. „SZERETŐK LÁZADÁSA” (5:42)
03. „ÓH SZÍV! NYUGODJ” (2:19)
04. „FÉRFISZÓVAL” (7:15)
05. „NŐ A TÜKÖR ELŐTT” (5:05)
06. „ŐSZ” (2:39)
07. „URAM” (2:49)
08. „MÉRT HAGYTÁL EL, HOGYHA KÍVÁNSZ” ???????? (5:00)
09. „TALÁN ELTŰNÖK HIRTELEN” (4:15)
–(klasszikus gitárra hangszerelve,barokk stílusban)
+10. ”SZÜLETÉSNAPODRA” (4:45)
„drága költőmnek s tűzhajúmnak”-
(ez Ágnes Vanilla verse, amelyet József Attila 100. születésnapja alkalmából zenésített meg)
http://www.zshare.net/download/70204895c2625a/
Ágnes Vanilla - József Attila 2005
-------------------------------------
01. „TALÁN ELTŰNÖK HIRTELEN” (3:36)
02. „SZERETŐK LÁZADÁSA” (5:42)
03. „ÓH SZÍV! NYUGODJ” (2:19)
04. „FÉRFISZÓVAL” (7:15)
05. „NŐ A TÜKÖR ELŐTT” (5:05)
06. „ŐSZ” (2:39)
07. „URAM” (2:49)
08. „MÉRT HAGYTÁL EL, HOGYHA KÍVÁNSZ” ???????? (5:00)
09. „TALÁN ELTŰNÖK HIRTELEN” (4:15)
–(klasszikus gitárra hangszerelve,barokk stílusban)
+10. ”SZÜLETÉSNAPODRA” (4:45)
„drága költőmnek s tűzhajúmnak”-
(ez Ágnes Vanilla verse, amelyet József Attila 100. születésnapja alkalmából zenésített meg)
http://www.zshare.net/download/70204895c2625a/
Ágnes Vanilla (József Attila) - Születésnapodra
Még élünk, gyermekek vagyunk, s mégis látod, mindig haladunk
Az úton, mert menni kell még akkor is, ha maradni akarunk
Itt egy év, és ott egy újabb, de embertől ne várj újat
Korlátaikat hagyd nekik, te híd is vagy, és folyó is vagy
Rajtad mások átkelhetnek, ha akarnak, kinevethetnek
Szárnyad is van, repülni tudsz, így föléjük emelkedhetsz
Refrén
Istenedhez, angyalodhoz, nem választott akarathoz
Álmaidhoz, szerelmedhez, maradj mindig hű magadhoz
Istenedhez, angyalodhoz, nem választott akarathoz
Álmaidhoz, szerelmedhez, maradj mindig hű magadhoz
Föld lakói remeghetnek, hódolhatnak félelemnek
De te szilárd lábakon állj, s maradj meg mindig ilyennek
Vedd a napot ajándéknak, amit mások pazarolnak
Ne vedd magadra, ha semmibe vesznek, nekem mindig ajándék vagy
Refrén
Istenedhez, angyalodhoz, nem választott akarathoz
Álmaidhoz, szerelmedhez, maradj mindig hű magadhoz
Istenedhez, angyalodhoz, nem választott akarathoz
Álmaidhoz, szerelmedhez, maradj mindig hű magadhoz
Maradj mindig hű magadhoz, maradj hű adott szavadhoz
Álmaidhoz, szerelmedhez, így juthatsz igaz áldáshoz
S, hogy tűzhajú kedvesem lettél, ne számold, hogy mennyit léptél
Nem azt ünneplem, mióta, hanem azt, hogy megszülettél
Refrén
Istenedhez, angyalodhoz, nem választott akarathoz
Álmaidhoz, szerelmedhez, maradj mindig hű magadhoz
Istenedhez, angyalodhoz, maradj hű adott szavadhoz
Álmaidhoz, szerelmedhez, maradj mindig hű magadhoz
Kívánság
Kedves Jóisten! Kérlek, legyen úgy, hogy azt mondják az orvosok: "Nini!!! Nocsak!!! Nahát!!!! Hiszen ez nem is asztrocitóma, se nem jó-, se nem rosszindulatú tumor, nem daganat, nem rák, hanem nézzük csak meg még közelebbről!!! Né'má' ez egy piros Rudy Project sisakdarabka, ami beékelődhetett ennek a nőnek a fejébe 2005 nyarán!!"
:-)))
Annyi de annyi ember "nézte meg" az AK-s laborjában a fejem, és állítja, hogy nem is lát daganatot és nincs is ott semmi rákszerűség...
Abban reménykedem, hogy TÉNYLEG azt fogja mondani az orvos, hogy ez nem az, aminek gondoltuk, hanem mondjuk volt egy mini-agyvérzésem az eséskor, vagy megsérült ott egy terület, egy ér egy akármi, ami ottvan, és a szüléskor meg nagy nyomásnak volt kitéve az a terület, és az erőlködés is hozzájárult, hogy még nagyobb lett, és mostanra tetőzött.
Legyen így! Legyen így!! Legyen így!!! Lécci-lécci-lécci!!! ;-))
:-)))
Annyi de annyi ember "nézte meg" az AK-s laborjában a fejem, és állítja, hogy nem is lát daganatot és nincs is ott semmi rákszerűség...
Abban reménykedem, hogy TÉNYLEG azt fogja mondani az orvos, hogy ez nem az, aminek gondoltuk, hanem mondjuk volt egy mini-agyvérzésem az eséskor, vagy megsérült ott egy terület, egy ér egy akármi, ami ottvan, és a szüléskor meg nagy nyomásnak volt kitéve az a terület, és az erőlködés is hozzájárult, hogy még nagyobb lett, és mostanra tetőzött.
Legyen így! Legyen így!! Legyen így!!! Lécci-lécci-lécci!!! ;-))
2008. október 7., kedd
Tej, listák, hivatkozások
Itt a szomorú vég, sötét, Bromocriptin-szín felhők borultak a prolaktin hormonomra. :-) Na jó, ez nem vicces. Eljött Borikánk számára az idő, búcsút kell vennie a fincsi tejcitől és a reggeli-esti összebújástól. Tegnap reggel kezdtem el a tejapasztó tablettát szedni, tehát éjjel nem sokat aludtunk. A szívem szakad meg a kétségbeesett sírástól és attól, ahogy távol kell magamtól tartanom, mert tépi le a ruhámat. Sajnos a műtét miatt kell az ablaktáció. Kap 3-as számú, elválasztó tápszert némi cukorral. (Igen. Cukorral. Anya egészséges ételes és "bio" elveit meg elfújta a szél...) Szerintetek szereti? Jó, jó, már nem a túlélése múlik az anyatejen, végül is a 14. hónapját tapossa. Viszont lehet, hogy lelki traumákat okozok neki... Van anya, de nem kaphat belőle. Este apa vállán alszik el, hosszas sírás után. Hogy örültünk, mikor végre lett elég tej, most meg annak kell örülni, ha nem lesz.
Megnéztem a Bakancslista c. filmet Jack Nicholson és Morgan Freeman főszereplésével. Nem éppen kórházba vonulás előtti napokra ajánlható, nekem mégis nagyon tetszik. Elhangzik benne egy utalás Elisabeth Kübler-Ross könyvére, amelyben leírja, hogy milyen lépéseket járnak végig a betegek a betegség diagnosztizálásától a halál lehetőségének elfogadásáig. Ezek az állomások a következők: tagadás, düh, alkudozás, depresszió, belenyugvás.
Az alkudozás szakaszában vagyok. Kübler-Ross azt írja: „Jó magaviseletéért” jutalmat kér; néhány fájdalommentes napot, az élete meghosszabítását. Időt akar így nyerni egy kijelölt dátumig vagy eseményig. Ez az alkudozás leggyakrabban - bár sokszor titokban - Istennel történik."
Továbbá, ahogy fogynak a napok jövő hét hétfőig, egyre terebélyesedő halálfélelmem is van.
A halálfélelemnek pedig öt alaptípusa különböztethető meg: "Fájdalomtól, szenvedéstől való félelem. A szerettektől, társaktól való elválás miatti félelem. Önmagunk jelentőségének elvesztésétől való félelem. Az ismeretlentől való félelem. A megsemmisüléstől való félelem."
Én titokban azért attól is félek, hogy van valami a halál után, és jól meg leszek büntetve. :-) Jó-jó, tudom, már megint miken jár az eszem!! Pozitív gondolkodás!!! Nem halálos beteg vagyok. Agydaganatom van.
Művelődjünk!
Kepes András lelki válsága miatt lett rákos
A változás személyiség-dinamikája
A C-vitamin csökkenti a rákgyógyszerek hatását
Az immunrendszer megerősítése
Megnéztem a Bakancslista c. filmet Jack Nicholson és Morgan Freeman főszereplésével. Nem éppen kórházba vonulás előtti napokra ajánlható, nekem mégis nagyon tetszik. Elhangzik benne egy utalás Elisabeth Kübler-Ross könyvére, amelyben leírja, hogy milyen lépéseket járnak végig a betegek a betegség diagnosztizálásától a halál lehetőségének elfogadásáig. Ezek az állomások a következők: tagadás, düh, alkudozás, depresszió, belenyugvás.
Az alkudozás szakaszában vagyok. Kübler-Ross azt írja: „Jó magaviseletéért” jutalmat kér; néhány fájdalommentes napot, az élete meghosszabítását. Időt akar így nyerni egy kijelölt dátumig vagy eseményig. Ez az alkudozás leggyakrabban - bár sokszor titokban - Istennel történik."
Továbbá, ahogy fogynak a napok jövő hét hétfőig, egyre terebélyesedő halálfélelmem is van.
A halálfélelemnek pedig öt alaptípusa különböztethető meg: "Fájdalomtól, szenvedéstől való félelem. A szerettektől, társaktól való elválás miatti félelem. Önmagunk jelentőségének elvesztésétől való félelem. Az ismeretlentől való félelem. A megsemmisüléstől való félelem."
Én titokban azért attól is félek, hogy van valami a halál után, és jól meg leszek büntetve. :-) Jó-jó, tudom, már megint miken jár az eszem!! Pozitív gondolkodás!!! Nem halálos beteg vagyok. Agydaganatom van.
Művelődjünk!
Kepes András lelki válsága miatt lett rákos
A változás személyiség-dinamikája
A C-vitamin csökkenti a rákgyógyszerek hatását
Az immunrendszer megerősítése
HOGY VAGY???
Feketéné Kovács Szénia!!!
2008. szeptember 3-án írtál az első bejegyzésemhez.
Mi történt 15-e óta??? Írtad, hogy mész vizsgálatokra.
Kiderült valami???
Írj, kérlek, szeretném tudni, hogy mi van veled!!!
Puszillak!
Gabi
2008. szeptember 3-án írtál az első bejegyzésemhez.
Mi történt 15-e óta??? Írtad, hogy mész vizsgálatokra.
Kiderült valami???
Írj, kérlek, szeretném tudni, hogy mi van veled!!!
Puszillak!
Gabi
2008. október 1., szerda
2008. szeptember 30., kedd
Töprengések
Orvos szerint a daganat az agyburokban keletkezett, és nagy valószínűséggel gyerekkorom óta nődögél, és mostanra érte el azt a méretet, amely már tüneteket okoz. Nyilván ezt majd a szövettan igazolja vagy cáfolja, mindenesetre, ha valóban így van, és tényleg gyerekkorom óta kotlik ezen a tojáson a fejem, az sok dologra választ adna. Hogy mást ne mondjak, a folyamatos depressziós, ok nélkül sírós-rívós, iszonyatos lelki fájdalmakkal teli periódusaimra egészen kiskorom óta!!! Mert kérem én már az óvodában is elkülönülő, magambahúzódó, szomorkodós kisgyerek voltam. Aztán meg minden csak fokozódott. Szóval klassz kis fogas lehetne ez a digi-dagi-daganat, amire sokmindent rápakolhatnék, és utólag komoly magyarázatot kapna és értelmet nyerne rengeteg olyan élményem, érzésem, viselkedésem, amely csak sötét folt az életemben... Akkor viszont nagy kár, hogy nem derült ki sokkal előbb, hogy szervi eredetű lelki nyavalyáktól szenvedek, és ezen nem segít a Xanax, a Stilnox meg az Atarax, a pszichológus meg a természetgyógyász...
Aztán persze beugrott az a bizonyos 2005 augusztus 20-i csillebérci ESZMÉLETLEN montis verseny.
Az orvos szerint - bár kettétört a sisakom és elvesztettem az eszméletem - az esés és az ütés nem képez daganatot. Ellenben ezt találtam a neten:
Egyértelműen ma még nem lehet arról állást foglalni, hogy mi okozhat agydaganatot. A gyermekkori előfordulás örökletes tényezőket is feltételez a háttérben, ám összességében csak az eseteknek egy kis hányadában mutatták ki, hogy összefüggés lehet a családban korábban előfordult agydaganat és az aktuális betegség között.
A kutatások több kockázati tényezőt is felvetnek úgy mint egyes vegyszerekkel (pl. a PVC-gyártásnál használt vinilklorid, oldószerek, formaldehid) való tartós munkahelyi kapcsolat vagy a koponya – különösen gyermekkori – röntgenbesugárzása. A koponyasérülések a jelenlegi ismeretek szerint nem növelik az agydaganatok kockázatát. Időről-időre felmerülő kérdés a mobiltelefonok és az adótornyok esetleges hosszú távú káros hatása, ám egyértelmű bizonyítékok mind a mai napig nem láttak napvilágot.
Nos. Nekem volt koponyaröntgenem az eséskor. Sőt utána rengeteg röntgenfelvétel készült az állkapcsomról a fogbeültetés miatt is...
Igazán jó lenne tudni, hogy mitől alakult ki, már csak a személyes érintettségem okán is. :-))
Aztán persze beugrott az a bizonyos 2005 augusztus 20-i csillebérci ESZMÉLETLEN montis verseny.
Az orvos szerint - bár kettétört a sisakom és elvesztettem az eszméletem - az esés és az ütés nem képez daganatot. Ellenben ezt találtam a neten:
Egyértelműen ma még nem lehet arról állást foglalni, hogy mi okozhat agydaganatot. A gyermekkori előfordulás örökletes tényezőket is feltételez a háttérben, ám összességében csak az eseteknek egy kis hányadában mutatták ki, hogy összefüggés lehet a családban korábban előfordult agydaganat és az aktuális betegség között.
A kutatások több kockázati tényezőt is felvetnek úgy mint egyes vegyszerekkel (pl. a PVC-gyártásnál használt vinilklorid, oldószerek, formaldehid) való tartós munkahelyi kapcsolat vagy a koponya – különösen gyermekkori – röntgenbesugárzása. A koponyasérülések a jelenlegi ismeretek szerint nem növelik az agydaganatok kockázatát. Időről-időre felmerülő kérdés a mobiltelefonok és az adótornyok esetleges hosszú távú káros hatása, ám egyértelmű bizonyítékok mind a mai napig nem láttak napvilágot.
Nos. Nekem volt koponyaröntgenem az eséskor. Sőt utána rengeteg röntgenfelvétel készült az állkapcsomról a fogbeültetés miatt is...
Igazán jó lenne tudni, hogy mitől alakult ki, már csak a személyes érintettségem okán is. :-))
2008. szeptember 29., hétfő
2008. szeptember 25., csütörtök
Agyhírek
Szeptember 29-én megyek egy újabb, önkéntes és magánúton intézett MR-re. Tudnom kell, mi van odabent.
Újabban befurakodott a lelkembe a halálfélelem. Úgy rendesen. Pedig minek is ez az önféltés... Az embernek nincs igazi találkozása a halállal, mondja Popper mester. Míg vagyok, halál nincs. Mikor halál van, én nem vagyok. Ugye. De nem-nem!! Hát olyan kár lenne értem!! :-)) Na ezért állandóan rohangálok, tevékenykedem, ismerősöket látogatok, programokat csinálok, hogy véletlenül se kelljen 10 percnél tovább üresjáratban pörögnöm.
Ha imádkozom, megnyugszom. Ilyenkor magamban motyogom a szentenciákat, kéréseimet, kívánságaimat, így lekötöm a tudatom. Viszont ha kiüresedett fejjel (kiüresedett... hát ez vicces megfogalmazás öh-öh) "meditálok", az újabban nem jó, mert jönnek a rémképek. Relaxálni sem vagyok képes éppen emiatt. Minél lazább leszek, annál idegesebb is. :-) Szóval imádkozom, Istenhez beszélek. És gyakran fennhangon magamban is, ha egyedül vagyok. Van már bennem pár Balaton200-nyi vagy Velence10-nyi feszültség. :-)
Agydaganat, mint kulturális kutatási terület:
Karinthy Frigyes: Utazás a koponyám körül
Ugyanez Latinovits előadásában megvan a Kossuth Rádió hangtárában.
Gershwin pedig éppen astrocytoma miatt halt meg.
Már összeszedegettem lehetséges okokat is, hogy miért éppen én, miért éppen most... De mégsem áll össze a kép úgy teljes egészében. Gondolom nem is fog. Ha jól meggondolom, az életmódom, táplálkozási és egyéb szokásaim, a pszichés állapotom alapján, az alapján aki vagyok, ahogy élek, amit cselekszem és amennyit gyötröm magam, leginkább egy jó kis gyomorfekélyre vagy cukorbetegségre lennék esélyes, ha valóban minden betegség főleg belső okokra vezethető vissza, olyan okokra, amelyekről mi magunk tehetünk.
Tanárúr szerint a daganat genetikai betegség. Megkergült egy gén. Na de hogy az mitől bolondul meg... Valami kiváltó oka nyilván kell, hogy legyen. Azért foglalkoztat különösen a kialakulás oka, mert ha tudnám, azt is tudnám, min változtassak, hogy ne újuljon ki. Mert attól is tartok, hogy kimetszik, aztán visszanő. (Már hallom is: vigyázzak, mert a gondolat teremtő erő!) Azért tartom borzasztó igazságtalanságnak ezt az állapotot, mert fizikai szinten nem vagyok egy direkt önpusztító személyiség.
Bár lehetséges, hogy az a rengeteg génmódosított, hipermarketes zöldségben-gyümölcsben található vegyszer vagy a hónaljdezodorban található alumínium koncentrálódott a testemben. Vagy éppen a szintetikus multivitaminok. Vagy a kerékpározás során beszívott benzingőz. Vagy az évek hosszú sora alatt a magamra kent tízezer liter testápoló, arckrém, kézkrém, fogkrém, sampon, balzsam, hajhab. A háztartási vegyszerek. Az irodai munkák 8-10-14 órája alatt begyűjtött monitorsugárzás és az elektroszmog és a mobiltelefon. Szolárium. A rádióhullámok és magas feszültségű vezetékek. A HAARP- antennamező. Vagy mert közel van Inota és Pétfürdő, rossz a városunk levegője. Szennyezett a csapvíz. És a Hartman-csomók, a Ley-vonalak meg a földsugárzás. És rossz helyen van az ágyunk. :-) Vagy harmincas nők elleni összeesküvés áldozata vagyok. Áááááááááááááá!!!!!!!!
Az a bajom, hogy nem bírom elhinni, hogy én csináltam magamnak. Nem bírom elhinni, hogy CSAKIS a szülés körüli őrület miatt alakult ki. Mindez együtt vagy egyik sem... Úgysem fogom megtudni. Van ez a "vádold az áldozatot" technika, hozzáállás, módszer, szemlélet. Te tehetsz róla, úgy kell neked! Jó sok emberrel találkozom, aki szerint magamnak köszönhetem a betegségem. Az lenne jó, ha a betegségek kialakulását megelőzően hívnák fel az ember figyelmét rá, mert utólag tényleg olyan könnyű okosnak lenni. Például így képzelem: Gabi, ne szülj gyereket, mert agydaganatod lesz a terhesség és a szülés és a szoptatás miatti nehézségek folytán. Vagy: Gabi, ne idegeskedj annyit amiatt, hogy agydaganatod van, mert még magas vérnyomásod is lesz hozzá, meg meszes ereid. :-)
Volt, aki azt mondta, hogy a lelkem sejtszinten (!) emlékezett rá, hogy egyik életében belehalt a szülésbe, és azért nem akart a kislányom megszületni, és azért nem akarta a testem elengedni. Eddig ez volt a legvadabb ötlet.
Én úgy gondolok magamra, mint aki kb. 75%-osan megtesz mindent azért, hogy sokáig egészséges maradjon. Tényleg már-már túl jó "kislány" is vagyok. Nem iszom, nem dohányzom, nem drogozok, nem bulizok, szórakozni se járok, nem szeretem a magyaros ételeket, rengeteg zöldséget, gyümölcsöt, magokat eszem és vitaminokat, sok vizet iszom és gyógyteákat, este 9-kor ágyban vagyok. Újabban már kávét sem iszom és tévét se nézek. Amióta anyuka vagyok, igaz, nem sportolok, ellenben rengeteget sétálok (min.6 kilométert, ha kimozdulunk) babakocsival. Az egyetlen "káros szenvedélyem", hogy viszonylag sok csokit eszem, de simán vannak olyan hetek, hogy egyetlen sportszeletet sem. :-) Szóval nálam lényegesen önsorsrontóbb embereket ismerek, és nem betegek. Na itt jön akkor képbe, hogy igen, ők ehetnek-ihatnak amit akarnak, mert lelkileg rendben vannak, te Gabi meg nem. :P
Költői kérdés: lehet-e az ember teljesen nyugodt és feszültségmentes, miután agydaganatot diagnosztizáltak nála? Nemde kéne egy szakember, aki segít feldolgozni a diagnózis okozta stresszt, szorongást, kétségbeesést, önvádat, önsajnálatot, halálfélelmet?
Azt érzem, kevés nekem az "öngyógyítás", én nem bírok magammal. Nálam sokkal nagyobb erő kezében vagyok, és őt nem "programozhatom". Kicsi egóm kapkod fűhöz-fához, szalad a vargához, fűzfahegyen lakó Varjú Varga Pálhoz, és mégis-mégis úgy érzi, nem a maga ura, és nincs segítség, mert a sorsa Magasabb Fórumon dől el. De erről nem írok, mert az előző bejegyzéseim is már inkább megtérés-történet lettek, semmint az asztrocitómáé. ;-)
"LEGYEN MEG A TE AKARATOD."
Újabban befurakodott a lelkembe a halálfélelem. Úgy rendesen. Pedig minek is ez az önféltés... Az embernek nincs igazi találkozása a halállal, mondja Popper mester. Míg vagyok, halál nincs. Mikor halál van, én nem vagyok. Ugye. De nem-nem!! Hát olyan kár lenne értem!! :-)) Na ezért állandóan rohangálok, tevékenykedem, ismerősöket látogatok, programokat csinálok, hogy véletlenül se kelljen 10 percnél tovább üresjáratban pörögnöm.
Ha imádkozom, megnyugszom. Ilyenkor magamban motyogom a szentenciákat, kéréseimet, kívánságaimat, így lekötöm a tudatom. Viszont ha kiüresedett fejjel (kiüresedett... hát ez vicces megfogalmazás öh-öh) "meditálok", az újabban nem jó, mert jönnek a rémképek. Relaxálni sem vagyok képes éppen emiatt. Minél lazább leszek, annál idegesebb is. :-) Szóval imádkozom, Istenhez beszélek. És gyakran fennhangon magamban is, ha egyedül vagyok. Van már bennem pár Balaton200-nyi vagy Velence10-nyi feszültség. :-)
Agydaganat, mint kulturális kutatási terület:
Karinthy Frigyes: Utazás a koponyám körül
Ugyanez Latinovits előadásában megvan a Kossuth Rádió hangtárában.
Gershwin pedig éppen astrocytoma miatt halt meg.
Már összeszedegettem lehetséges okokat is, hogy miért éppen én, miért éppen most... De mégsem áll össze a kép úgy teljes egészében. Gondolom nem is fog. Ha jól meggondolom, az életmódom, táplálkozási és egyéb szokásaim, a pszichés állapotom alapján, az alapján aki vagyok, ahogy élek, amit cselekszem és amennyit gyötröm magam, leginkább egy jó kis gyomorfekélyre vagy cukorbetegségre lennék esélyes, ha valóban minden betegség főleg belső okokra vezethető vissza, olyan okokra, amelyekről mi magunk tehetünk.
Tanárúr szerint a daganat genetikai betegség. Megkergült egy gén. Na de hogy az mitől bolondul meg... Valami kiváltó oka nyilván kell, hogy legyen. Azért foglalkoztat különösen a kialakulás oka, mert ha tudnám, azt is tudnám, min változtassak, hogy ne újuljon ki. Mert attól is tartok, hogy kimetszik, aztán visszanő. (Már hallom is: vigyázzak, mert a gondolat teremtő erő!) Azért tartom borzasztó igazságtalanságnak ezt az állapotot, mert fizikai szinten nem vagyok egy direkt önpusztító személyiség.
Bár lehetséges, hogy az a rengeteg génmódosított, hipermarketes zöldségben-gyümölcsben található vegyszer vagy a hónaljdezodorban található alumínium koncentrálódott a testemben. Vagy éppen a szintetikus multivitaminok. Vagy a kerékpározás során beszívott benzingőz. Vagy az évek hosszú sora alatt a magamra kent tízezer liter testápoló, arckrém, kézkrém, fogkrém, sampon, balzsam, hajhab. A háztartási vegyszerek. Az irodai munkák 8-10-14 órája alatt begyűjtött monitorsugárzás és az elektroszmog és a mobiltelefon. Szolárium. A rádióhullámok és magas feszültségű vezetékek. A HAARP- antennamező. Vagy mert közel van Inota és Pétfürdő, rossz a városunk levegője. Szennyezett a csapvíz. És a Hartman-csomók, a Ley-vonalak meg a földsugárzás. És rossz helyen van az ágyunk. :-) Vagy harmincas nők elleni összeesküvés áldozata vagyok. Áááááááááááááá!!!!!!!!
Az a bajom, hogy nem bírom elhinni, hogy én csináltam magamnak. Nem bírom elhinni, hogy CSAKIS a szülés körüli őrület miatt alakult ki. Mindez együtt vagy egyik sem... Úgysem fogom megtudni. Van ez a "vádold az áldozatot" technika, hozzáállás, módszer, szemlélet. Te tehetsz róla, úgy kell neked! Jó sok emberrel találkozom, aki szerint magamnak köszönhetem a betegségem. Az lenne jó, ha a betegségek kialakulását megelőzően hívnák fel az ember figyelmét rá, mert utólag tényleg olyan könnyű okosnak lenni. Például így képzelem: Gabi, ne szülj gyereket, mert agydaganatod lesz a terhesség és a szülés és a szoptatás miatti nehézségek folytán. Vagy: Gabi, ne idegeskedj annyit amiatt, hogy agydaganatod van, mert még magas vérnyomásod is lesz hozzá, meg meszes ereid. :-)
Volt, aki azt mondta, hogy a lelkem sejtszinten (!) emlékezett rá, hogy egyik életében belehalt a szülésbe, és azért nem akart a kislányom megszületni, és azért nem akarta a testem elengedni. Eddig ez volt a legvadabb ötlet.
Én úgy gondolok magamra, mint aki kb. 75%-osan megtesz mindent azért, hogy sokáig egészséges maradjon. Tényleg már-már túl jó "kislány" is vagyok. Nem iszom, nem dohányzom, nem drogozok, nem bulizok, szórakozni se járok, nem szeretem a magyaros ételeket, rengeteg zöldséget, gyümölcsöt, magokat eszem és vitaminokat, sok vizet iszom és gyógyteákat, este 9-kor ágyban vagyok. Újabban már kávét sem iszom és tévét se nézek. Amióta anyuka vagyok, igaz, nem sportolok, ellenben rengeteget sétálok (min.6 kilométert, ha kimozdulunk) babakocsival. Az egyetlen "káros szenvedélyem", hogy viszonylag sok csokit eszem, de simán vannak olyan hetek, hogy egyetlen sportszeletet sem. :-) Szóval nálam lényegesen önsorsrontóbb embereket ismerek, és nem betegek. Na itt jön akkor képbe, hogy igen, ők ehetnek-ihatnak amit akarnak, mert lelkileg rendben vannak, te Gabi meg nem. :P
Költői kérdés: lehet-e az ember teljesen nyugodt és feszültségmentes, miután agydaganatot diagnosztizáltak nála? Nemde kéne egy szakember, aki segít feldolgozni a diagnózis okozta stresszt, szorongást, kétségbeesést, önvádat, önsajnálatot, halálfélelmet?
Azt érzem, kevés nekem az "öngyógyítás", én nem bírok magammal. Nálam sokkal nagyobb erő kezében vagyok, és őt nem "programozhatom". Kicsi egóm kapkod fűhöz-fához, szalad a vargához, fűzfahegyen lakó Varjú Varga Pálhoz, és mégis-mégis úgy érzi, nem a maga ura, és nincs segítség, mert a sorsa Magasabb Fórumon dől el. De erről nem írok, mert az előző bejegyzéseim is már inkább megtérés-történet lettek, semmint az asztrocitómáé. ;-)
"LEGYEN MEG A TE AKARATOD."
2008. szeptember 19., péntek
MEGSZÜLETETT AZ ÍTÉLET
Tegnap, 2008. szeptember 18-án eldőlt a sorsom: október 13-án, hétfőn fekszem be az Amerikai útra és egy vagy két nap múlva, a vizsgálatokat követően, kiműtik a gombócot a fejemből.
Czirják Tanárúr rámbízta a döntést az időpontot illetően. Hogy miért e nap mellett határoztam, legyen az én és egy canadahun-os ismerősöm "titka". :-)
A Tanárúrral beszélgetés helyretett bennem pár kérdést. A túlélési esélyekről például. Mint írtam, jól kiműveltem magam a netről, és a Wikipedia ezt írta: For low grade astrocytomas, removal of the tumor will generally allow functional survival for many years. In some reports, the 5 year survival has been over 90% with well resected tumors.
Az én olvasatomban ez azt jelentette, hogy kimetszik a daganatot, a műtét sikerül is, de kezdhetek visszaszámolni 5 évig, aztán harangoztak. Tanárúr elmondta, hogy bízzam rá a dolgokat: nem én vagyok az első, hiszen többezer esettel találkozott már, és hozzátette, ő is megpróbált tapétázni barkácskönyvek alapján, de a végeredmény bizony katasztrofális lett. Megbeszéltük, hogy "hmm-hmm... a párom éppen most készül elkészíteni élete első saját borát és már vett is hozzá egy borkészítési alapkönyvet", és ezen elnevetgéltünk kicsit.
Tehát a fenti idézet leginkább azt jelenti, hogy ha jól ki van metszve a gombóc, 90%-os esély van rá, hogy 5 évig nem nő vissza, és nem 90%-os az esély az egyén ötéves túlélésére. Így olvasson a laikus páciens. Nos, ez megnyugtató. Ellenben manipulatív szándékú kérdésemre, hogy legyen-e testvére Borinak vagy ne legyen, illetve gyűjtsek-e nyugdíj-előtakarékosságra, azt válaszolta: majd a szövettan tükrében válaszol, addig felesleges ezzel foglalkozni. Tanárúr szívélyes, barátságos és emberségesen meleg fogadtatása, viselkedése és hangneme megmelengette a szívünket, majd kezet ráztunk, elköszöntünk és visszatértünk a recepcióra egyeztetni a részleteket 13-val kapcsolatban, mikor is az asszisztens hölgy lélekszakadva rohant utánunk, hogy gyorsan menjünk vissza, mert a Professzor Úr még valamit szeretne mondani.
Visszafordultunk a folyosón, ahol rengeteg beteg várakozott kétoldalt. Czirják Tanárúr elindult felénk, a kezében tartotta a Medjugorje-ből kapott Tau-keresztes vagy Antal-keresztes karláncomat, ami valami különös "véletlen" folytán észrevétlen lepottyant a csuklómról a konzultáció alatt. Teljesen elhűltem, hogy nem vettem észre, és azt mondtam páromnak, Balázsnak, hogy bizonyára nincs már rá szükségem, de ő úgy látta, hogy Tanárúrnak meg kellett fognia, és a saját energiáival is fel kellett töltenie a láncomat. Ezzel mindenképpen egyetértek. :-)
Biztos vagyok benne, hogy minden a legnagyobb rendben lesz, és egyszer és mindenkorra kiűzetik a fejemből az agyam érzelmi központjára telepedett ördög, és soha többé nem lesz szervi eredetű depresszióm, öngyilkossági késztetésem, megmagyarázhatatlan dührohamom és egyéb organikus pszichés bajom, hanem ha mégis, az csakis az én művem lesz, és ez a lelkemre telepedő sötétség végre eltűnik belőlem és békénhagy. Megnyugodtam, Isten lássa lelkem! Nem hadakozom a műtét ellen, hiszen nem az életemre törnek, hanem éppen megmentik azt. Néha a Jóisten angyalai orvosok képében sietnek megmentésünkre. Ami a lelkemnek a keresztelő, a testemnek az operáció.
Az okokat illetően pedig... vannak elképzeléseim, feltételezéseim, ésszerű és ésszerűtlen magyarázataim, agyalok is rajta éppen eleget, és úgy érzem, ez az egész, az eddigi életem, és az eddigi életem végére felkerült óriási pont (daganat), és ez a betegség-állapot egy hatalmas kirakósjáték, és minden kis elemére van írva valami, ami igaz is lehet, meg nem is, és a végén csak összeáll, ha elég messziről vagy magasról nézek rá, hogy HAZAÉRTÉL.
Legbelül mindig is éreztem, hogy mire 35 éves leszek, minden meg fog változni körülöttem, bennem, a másokkal való kapcsolatomban. Jövő márciusban jár le az ötödik hétév. Hitem szerint a megpróbáltatásaim és hányattatásaim végére értem. Nincs más dolgom, csak szeressem azt, aki vagyok, azokat, akik engem szeretnek és örüljek! És a Jóisten kísér az utamon! Ámen. ;-)
Czirják Tanárúr rámbízta a döntést az időpontot illetően. Hogy miért e nap mellett határoztam, legyen az én és egy canadahun-os ismerősöm "titka". :-)
A Tanárúrral beszélgetés helyretett bennem pár kérdést. A túlélési esélyekről például. Mint írtam, jól kiműveltem magam a netről, és a Wikipedia ezt írta: For low grade astrocytomas, removal of the tumor will generally allow functional survival for many years. In some reports, the 5 year survival has been over 90% with well resected tumors.
Az én olvasatomban ez azt jelentette, hogy kimetszik a daganatot, a műtét sikerül is, de kezdhetek visszaszámolni 5 évig, aztán harangoztak. Tanárúr elmondta, hogy bízzam rá a dolgokat: nem én vagyok az első, hiszen többezer esettel találkozott már, és hozzátette, ő is megpróbált tapétázni barkácskönyvek alapján, de a végeredmény bizony katasztrofális lett. Megbeszéltük, hogy "hmm-hmm... a párom éppen most készül elkészíteni élete első saját borát és már vett is hozzá egy borkészítési alapkönyvet", és ezen elnevetgéltünk kicsit.
Tehát a fenti idézet leginkább azt jelenti, hogy ha jól ki van metszve a gombóc, 90%-os esély van rá, hogy 5 évig nem nő vissza, és nem 90%-os az esély az egyén ötéves túlélésére. Így olvasson a laikus páciens. Nos, ez megnyugtató. Ellenben manipulatív szándékú kérdésemre, hogy legyen-e testvére Borinak vagy ne legyen, illetve gyűjtsek-e nyugdíj-előtakarékosságra, azt válaszolta: majd a szövettan tükrében válaszol, addig felesleges ezzel foglalkozni. Tanárúr szívélyes, barátságos és emberségesen meleg fogadtatása, viselkedése és hangneme megmelengette a szívünket, majd kezet ráztunk, elköszöntünk és visszatértünk a recepcióra egyeztetni a részleteket 13-val kapcsolatban, mikor is az asszisztens hölgy lélekszakadva rohant utánunk, hogy gyorsan menjünk vissza, mert a Professzor Úr még valamit szeretne mondani.
Visszafordultunk a folyosón, ahol rengeteg beteg várakozott kétoldalt. Czirják Tanárúr elindult felénk, a kezében tartotta a Medjugorje-ből kapott Tau-keresztes vagy Antal-keresztes karláncomat, ami valami különös "véletlen" folytán észrevétlen lepottyant a csuklómról a konzultáció alatt. Teljesen elhűltem, hogy nem vettem észre, és azt mondtam páromnak, Balázsnak, hogy bizonyára nincs már rá szükségem, de ő úgy látta, hogy Tanárúrnak meg kellett fognia, és a saját energiáival is fel kellett töltenie a láncomat. Ezzel mindenképpen egyetértek. :-)
Biztos vagyok benne, hogy minden a legnagyobb rendben lesz, és egyszer és mindenkorra kiűzetik a fejemből az agyam érzelmi központjára telepedett ördög, és soha többé nem lesz szervi eredetű depresszióm, öngyilkossági késztetésem, megmagyarázhatatlan dührohamom és egyéb organikus pszichés bajom, hanem ha mégis, az csakis az én művem lesz, és ez a lelkemre telepedő sötétség végre eltűnik belőlem és békénhagy. Megnyugodtam, Isten lássa lelkem! Nem hadakozom a műtét ellen, hiszen nem az életemre törnek, hanem éppen megmentik azt. Néha a Jóisten angyalai orvosok képében sietnek megmentésünkre. Ami a lelkemnek a keresztelő, a testemnek az operáció.
Az okokat illetően pedig... vannak elképzeléseim, feltételezéseim, ésszerű és ésszerűtlen magyarázataim, agyalok is rajta éppen eleget, és úgy érzem, ez az egész, az eddigi életem, és az eddigi életem végére felkerült óriási pont (daganat), és ez a betegség-állapot egy hatalmas kirakósjáték, és minden kis elemére van írva valami, ami igaz is lehet, meg nem is, és a végén csak összeáll, ha elég messziről vagy magasról nézek rá, hogy HAZAÉRTÉL.
Legbelül mindig is éreztem, hogy mire 35 éves leszek, minden meg fog változni körülöttem, bennem, a másokkal való kapcsolatomban. Jövő márciusban jár le az ötödik hétév. Hitem szerint a megpróbáltatásaim és hányattatásaim végére értem. Nincs más dolgom, csak szeressem azt, aki vagyok, azokat, akik engem szeretnek és örüljek! És a Jóisten kísér az utamon! Ámen. ;-)
2008. szeptember 13., szombat
2008. szeptember 11., csütörtök
"Ahhoz, hogy az ember önmagára eszméljen, el kell tévednie!” “Akinek nincsenek kétségei, annak hite sincs, csak fanatikus.”
A mottóimnak (Popper Péter: Van ott valaki?) megfelelően tehát tévelygek és kételkedem, miközben hiszek és talán önmagamra eszmélek. Valahogy így. Ígérem, csapongok. Most éppen jól érzem magam.
Nem is tudom, hogyan fogjak hozzá... Elakad a szavam, gyorsabban ver a szívem, és megtelek hálával és szeretettel, amint a rengeteg kedves, biztató, buzdító szóra, levélre, hozzászólásra, telefonhívásra gondolok, amelyet Tőletek kaptam! Hosszú időbe telt megválaszolni a leveleket, utólag is bocsánatot kérek azoktól, akiket megvárakoztattam. Nagyon meghatott a kedvességetek és segítőkészségetek. Köszönöm a Jóistennek, hogy vagytok, hogy törődtök velem-velünk, gondoltok rám, és erőt meríthetek belőletek! Ugye tudjátok, milyen sokat jelent nekem a visszajelzésetek, és itt nem az íráskészségem méltatókra gondolok. ;-) Úgy érzem, fantasztikus közösség részese lettem általatok. Annyi mindent kaptam tőletek! Rengeteg hasznos ötletet, meditációs anyagokat, zenéket, együttérzést, egy-egy megvilágosító gondolatot, amelyeket külön ki is írogatok magamnak. Nem hittem volna, hogy ilyen összefogás létezik! KÖSZÖNÖM!!!
Az elmúlt idő során rengeteg változás ment végbe bennem. A diagnózistól számított egy hétig nem ettem semmit. Semmit, csak vizet ittam, mert folyamatosan gombóc volt a torkomban. Aludni sem bírtam, csak gyötrődtem. Hmm… a lélek sötét éjszakája köszöntött rám. Elaludni azért nem mertem, mert borzasztó álmaim voltak magukbahúzó, spirálszerű örvényekről. Fejjel előre bukom a forgó sötétségbe, majd kalimpáló szívvel ébredek. Szörnyű halálfélelmem volt. Ezidőtájt beletörődtem a megváltoztathatatlanba és úgy éreztem, nincs más hátra, mint várni a végzetet. Valóban igaz, hogy a feszültség csak tovább ront mindenen.
A műtéttől iszonyúan megrettentem... Bele fognak piszkálni a fejembe, roncsolnak szöveteket, és én soha többé nem leszek normális!! Nem hagyhatom, hogy ez velem megtörténjen!!! Felébredt bennem valami őserő. :-) Nekiálltam nagyon szorgalmasan programozni, hogy mire legközelebb megyek CT-re, szemmel láthatóan vagy kisebb lesz, vagy teljesen eltűnik ez az agylakó. Egyfolytában imádkozom, meditálok, agykontrollos gyakorlatokat végzek, és vidám dolgokkal igyekszem foglalkozni, nagyokat sétálok a kislányommal, és nem keresgélek több orvosi anyagot a netről. Elhatároztam: meggyógyulok! Nem véletlen kaptam ezt az időt! Mert szeptember 18-a még mindig messze van. Az a vicc az egészben, hogy azok a tünetek, amelyeket olyan szépen részleteztem, egycsapásra eltűntek! Mintha tényleg összeszedtem volna magam! Tele vagyok erővel, energiával, lendülettel. És nem érzem magam betegnek egyáltalán, sőt! Jó, a fejem fájogat, és a szemem is vacakol, de ezenkívül szinte semmi bajom nincs. Nincs betegségtudatom. Sőt újabban nagyon "pörgök". Nincs időm betegnek lenni. :-)) Egyfolytában nyüzsgök és tényleg érzem, hogy felébredt bennem az élniakarás.
Szinte minden nap történik valami csodás esemény, ami új erővel tölt fel és lelkesedéssel. Kaptam Lourdes-ból vizet — megittam, Medjugorje-ből kegytárgyakat egy kedves ismerősömtől — viselem és vizet programozok vele. Folyamatosan összetalálkozom rég nem látott barátaimmal, osztálytársaimmal, és mindenki hoz valamilyen nekem szóló “üzenetet”. Állandósulnak a “véletlenek”. Ott vannak a nekem szóló jelek mindenhol. Legelőször, mielőtt mentem a neurológiára az eredményekkel, előző este jelet kértem. Ígértem, hogy többé nem kísértem, nem teszem próbára. De még most az egyszer, kérem, adjon egy jelet, hogy tudjam, hogy tud róla, mi történik velem, és rajtam a szeme. Ültem a folyosón, és egyszercsak beállt egy cigány fiú a kartonozóba. Feltűnő rózsaszín póló volt rajta, nem lehetett nem észrevenni. A pólón aranyszín Jézus felirat és Jézus feje. Kellemes borzongás futott rajtam végig, elöntötte a melegség a szívem tájékát. Közben figyeltem, és a szóváltásból kiderült, a fiúnak nem is a kartonozóba kellett volna mennie, hanem kontrollra a traumatológiára. Nincsenek véletlenek. Nekem hozott üzenetet.
Vasárnap volt a keresztelőm. Nagyon régóta érzem “A” hívást, de mindig elodázgattam, elhessegettem. Tavaly a szüléskor fogadkoztam, hogy ha élve túlélem, megkeresztelkedem. Újjászülettem víztől és Szentlélektől, most már akár mehetek is az Isten országába, ha menni kell. ;-)
De azért a kettősség megvan bennem továbbra is, és gondolom, ez így is marad. A Jó és a Rossz ősi küzdelme zajlik bennem. Műtét vs. időnyerés… Kinek higgyek, kiben bízzak? Csak magamra hagyatkozzam, ugye. De én meg vagyok keveredve. Ellentétes vélemények érkeznek el hozzám, és magam sem tudom gyakran, hogy mit gondoljak. A hitemmel nincs probléma, az intellektuális megközelítésemmel van.
Még egy hosszadalmas hét a következő orvosi konzultációig.
1. Bízzak az orvosokban. Az orvostudomány ma már hihetetlen fejlett. Egyre újabb, korszerűbb eszközök, technológia, felszereltség. Az orvosok tudják, mit miért tesznek.
2. Ne bízzak az orvosokban. Csak kísérleti nyúl leszek. A műtét minimum 1-1,5 millió forintot hoz az intézménynek a TB-kasszából. Érdekük a műtét. Jól felturkálják a fejem, és soha nem leszek az, aki voltam, nem leszek normális, és éppen a műtét következményei miatt leselkednek rám veszélyek.
Az foglalkoztat a legjobban, hogy ha nem megyek el akkor MR-re, nem derül ki semmi, nem merül fel a műtét, akkor mi történne velem a közeljövőben. BIZTOS, hogy lebénulnék? Biztos, hogy történne valami visszafordíthatatlan? Azt akarom megkérdezni a Doktorúrtól, hogy van-e időm? Meglátása szerint mennyire kell sietni a műtéttel? Már az utolsó napjaimat élem műtét nélkül, vagy van még időm? Ha van időm, muszáj most kiírnia időpontot, vagy tud adni pár hónapot, hogy megnézhessük, mi történik a daganatnak nevezett valamivel. Hátha stagnál. Hátha visszahúzódik. Hátha felszívódik, hátha eltűnik. Nézzük meg, mi lenne műtét nélkül. Hát persze kérdés, hogy rám tud-e ijeszteni. Várni szeretnék. Esélyt adni az öngyógyulásnak.
Ha az orvosok játszhatnak az életemmel, én magam is megtehetem ugyanezt, ugye? Miért ne adhatnék magamnak időt? Attól félek, hogy éppen a műtét miatt fogok lerobbanni. Nehogy az legyen, hogy a műtét után mondjuk mozgássérült leszek, és akkor majd a szeretteim azt fogják mondani, de kár, hogy elengedtük a műtétre, jobb lett volna hagyni a dolgokat a maguk menetében, nem kellett volna beavatkozni, nem lett volna szabad hagyni, hogy megturkálják az agyát.
Ne így legyen!!
Ja, de ha karmikus, bevállalt “betegségem” van, akkor úgyse tehetek semmit.
Van itt a városban egy masszázságy-szalon. Voltam régebben párszor gerinckezelésen. Ma reggel összefutottam a vezető hölggyel. Mondtam neki, hogy nem az a baj, amit ő annak idején mondott. Nem a gerincemmel van baj. De szerinte a felső két csigolyám és a gerincem úgy általában - idézem: “cicám, neked tropára ment. De döntsd el te. Nyittasd fel az agyad, ha te úgy akarod. De nincs agydaganatod. Neked a felső két csigolyád meszesedik, azért fáj a fejed, azért nem látsz rendesen, mert behúzta a szemed is.” Ez igaz is lehet, mert iszonyúan fáj a hátam és a vállam már nagyon-nagyon régóta. Ezt a számítógépes munkának tulajdonítottam.
De tényleg? Tényleg az én akaratomon múlik? Tényleg van választásom? Én csináltam magamnak, most múlasszam is el? Vergődök a kétely és az irracionális magabiztosság kettősségében. Igen, én csináltam, el tudom mulasztani. Vállalom a felelősséget magamért, nem keresek bűnbakot, nem hárítom a körülményekre, a civilizációra stb. a daganat kialakulását.
Volt valaki, aki figyelmembe ajánlotta az Új Orvostudomány oldalt. Dr. Hamer azt vallja, hogy minden betegségnek egy érzelmi sokk, egy nagyerejű konfliktus az oka. Amikor tünteinkkel orvoshoz fordulunk, addigra valójában a szervezet már elkezdte feldolgozni ezt a konfliktust. Én ebben nem kételkedem.
A Szervatlasz szerint “Nem Vagyok Jó Anya”- típusú konfliktusom volt a közelmúltban. Ez igaz is. Ez okozta a szervi elváltozást. Észleltem a konfliktust, tudok róla, feloldoztam magam a terhe alól, hiszen jó anya vagyok, jó anya lettem, tudom magamból táplálni a gyermekem. Még most is szopizik, 13 hónaposan, van elég tej. Akikre haragudtam a szülést követő időkben, mindenkinek megbocsátottam. De nem csak úúúgy, hanem rendesen. Mintha meg sem történt volna. Ha a konfliktust nyakon csíptük, tettünk a feloldásáért, elvileg a gyógyulási szakaszban vagyunk. Csak várni kell, hogy elmúljon a szervi tünet, miután a lélekben rend lett.
Az Atlasz szerint a gyógyulási szakaszban vagyok, azért van ez a hatalmas ödémásodás a góc körül az agyamban. És tényleg pont azért tartom rettentő igazságtalannak, hogy most diagnosztizálták nálam ezt az állapotot, mert pár hónapja kezdtem el érezni, hogy végre visszatértem az élők közé a négy fal és a gyes-magány és a baba ellátásával kapcsolatos nehézségeim után. Újra van életkedvem, érdeklődő vagyok, nem a prolémáimon rágódok egész nap, emberek közé megyek, nyitott vagyok és kezdek rendbejönni. Erre meg tessék: agydaganat.
Mindazonáltal hol irracionális optimizmus (MEGGYÓGYULOK!), hol meg kétségbeesett letörtség (MI LESZ VELEM?) vesz rajtam erőt. Imádkozom. Rendszeresen. Megköszönöm a csodákat, amelyekben naponta részesülök. Megköszönöm az életem. A szeretteimet. Mindazt, ami van. AK-s “meditációt” végzek. Laboromban elképzelem a gyógyító folyamatokat, technikákat, eszközöket, injekciókat beadó angyalokat. Segítőim maga Jézus Krisztus és Mária. Rengeteg zöldség- és gyümölcslevet iszom, ezeket magam préselem. Multivitaminokat fogyasztok, lenmagot, halolajat. Sok vizet iszom. Salaktalanító teát kortyolgatok.
Drága Gyermekem, Gabriella!
Tudom, számodra felfoghatatlan, hogy útjaim kifürkészhetetlenek, de hidd el, csak jó történik veled. Hagyj abba mindent, és bennem bízz, és az orvosokban, akiket érted küldtem. Meg fognak műteni, bár te nem akarod, de ezt a szerepet neked így írtam meg. Rajtad keresztül akarom megtudni, hogy milyen érzés ezen keresztülmenni. Köszönöm, hogy együttműködsz a Tervemben.
Nagyon szeretlek.
Találkozunk még.
Ölel:
A Jóisten.
Vagy:
Drága Gyermekem, Gabriella!
Tudom, számodra felfoghatatlan, hogy útjaim kifürkészhetetlenek, de hidd el, csak jó történik veled. Éppen azokat az embereket és alternatív módszereket küldöm el hozzád, akik segítségével magadtól is meggyógyulsz, és ráébredhetsz az erődre. A hitedre bennem és a teremtőerődre magadban. Az én hasonlatosságomra teremtettelek, emlékszel, ugye? ;-) Ne bízz az orvosokban. Ez egy próbatétel. Vagy segítesz magadon és én is megsegítelek, vagy áldozatot akarsz játaszani, és önként hajtod a fejed a karámba… műtőasztalra, és hagyod, hogy mások döntsék el a sorsodat. A döntés a te kezedben van.
Nagyon szeretlek.
Találkozunk még.
Ölel:
A Jóisten.
Nagyon nehéz eldönteni, hogy egy érzés, egy találkozás, egy esemény azért van, hogy segítsen vagy hogy tévútra vigyen. Tipikus Halak vagyok, igaz? :-) Az egyik erre úszna, a másik arra. Tipikus Halak, de halászlének való ponty vagy harcos piranja...?
Végezetül jöjjön a Confiteor, amit naponta "mantrázok" magamban vagy ötvenszer:
Gyónom a mindenható Istennek és nektek testvéreim, hogy sokszor és sokat vétkeztem, gondolattal, szóval, cselekedettel és mulasztással. Kérem ezért a boldogságos mindenkor szeplőtelen Szűz Máriát, az összes angyalokat és szenteket és titeket testvéreim, hogy imádkozzatok érettem Urunkhoz, Istenünkhöz!
Feliratkozás:
Megjegyzések (Atom)





















