2014. december 23., kedd
2014. december 2., kedd
Háborgások
…és mivel most is elég zaklatott állapotban vagyok, végre
megírom ezt a kerek egy hónapja magamban őrizgetett, formálgatott bejegyzést. Már
az elején leszögezem, hogy szándékosan nem akarok megbántani senkit. Szerintem
szíve joga mindenkinek abban hinni, amiben akar vagy amiben tud. Nem kételkedem
a placebo-effektben, így ha valaki a citromos szódabikarbóna tumorsejtölő
hatásában leli meg a saját „csodaszerét”, ám legyen, én nem beszélek le senkit
semmiről, hiszen ki tudja, kit mi gyógyít (meg), kin mi segít. Nekem a Jóisten
a „plüssmacim”, akihez esténként fohászkodok még egy napért, aztán a
következőért, és így tovább. Vannak, akik meg éppen benne nem hisznek. Az ő
dolguk, én nem bántok senkit a hitéért. De tőlem továbbra se kérje senki, hogy
vegyek (csak próbaképpen) nanotechnológiás krémet, gyógygombát, ilyen-olyan
csúcsvitaminokat, MLM-rendszerben árusított, kifejezetten rákellenesnek vélt készítményeket.
(Hoppá! Nincs egyetlen rák, így egyetlen rákgyógyszer sem létezhet, amit „az
orvosok titkolnak” előlünk…)
Felháborító igen, hogy rajtam az MR-eredményeim tükrében
állítható, hogy segít a kemókapszula, amely mint tudjuk nem más, mint sejtméreg,
az orv doktorok és a gyógyszerlobbi összeesküvésének egyik eszköze az emberiség kiirtása
érdekében. Míg mások ismerősei, rokonai, akiken aztán valóban kipróbáltak mindenféle
kvantumplazma generátoros kezelést, atlantiszi gyógymágiát, hordtak magukon,
magukkal köveket-kristályokat, átrendezték a lakásukat, ágyaikat nem érhette
semmiféle földi és égi sugárzás, elektroszmog, ették-itták a csodaszereket
hónapszám, és lám, szegények, mégis fogták magukat és meghaltak! Nekem meg a
káanyukámat, hogy rajtam segít a Temozolomide, ami az emberiségellenes illuminátus-szabadkőműves
terv részeként… bla-bla… de nem írom le még egyszer, bővebben lásd a megfelelő
honlapokon, tele van velük a fészbúk meg a net úgy általában.
Jó, ki tudja, lehet, hogy elbízom magam én is… De szépen
kérek MINDENKIT, hogy ne akarjon nekem „csak az én érdekemben” és „csak
elkötelezettség nélküli kipróbálásra ajánlani” semmiféle szert, kapszulát, krémet, tablettát és italt és lekvárt se,
mert se kedvem, se pénzem effélékre, de ha lenne is, közbeszólna az elmém,
amelyet mostanában ezeken a blogokon pallérozok: http://kodpiszkalo.blog.hu/
és http://alimento.blog.hu/
Semmit nem eszek meg, nyelek le, kenek magamra vagy próbálok ki, amire nem a neuro-onkológus kezelőorvosom késztet.
És igen, bizonyára van „lelki oka” is a betegségeknek, nem
kétlem. Voltam én is családállításon, és jártam egy igen kedves, aranyos hölgyhöz
jungi szerepszemélyiségekkel dolgozó beszélgetésre, és sokat írtam a
családomról szép füzetekbe. Igen, szerintem feldolgoztam a lelki gubancaimat. Lényegesen
kevesebbet (anyukám által igazolhatóan!) „lelkizek”, borongok, sirdogálok, mint
akár 5 évvel ezelőtt is. Megbocsátottam mindenkinek mindazt, amivel megbántott,
hiszen ők éppen azt a maximumot tudták életük abban a pillanatában nyújtani
nekem, még ha én másképp is éltem meg a történések idején. Van rálátásom a
családi gubancainkra, az ún. „blokkokra”, igen, ahogy a Harcosok klubjában is
elhangzik: „Apu elcseszett élete vagyok”… De apu már nincsen. Ahogy az akkori
Gabi sincsen már…
Na szóval nem akarok cinikus lenni, és olyat írni, hogy:
Bocsánatot kérek, hogy engem gyógyít(ani tűnik) a Temozolomide kemókapszula, míg
mások meg ezzel vagy enélkül is, de meghalnak. Mindazonáltal, mégis ilyenek
járnak a fejemben annak a néhány üzenetnek, ímélnek és telefonhívásnak a
hatására… De nektek is megbocsátok :-),
mert úgy hírlik, a negatív érzelmek rongálják az immunrendszert. És nem is kell, hogy mindenki velem örüljön!
Kép forrása: http://fineartamerica.com/featured/angry-ocean-on-a-clear-day-mark-gilmore.html
2014. december 1., hétfő
K. Gy.
Tegnap voltam ismét az OITI-ben, vérkép rendben, megkaphattam a 14. kemóciklus kapszuláit és gyógyszereit (Medrol befelezve, most már remélhetőleg kevesebbet fogok hízni…) Korán érkeztem, még sötét volt a Déli pályaudvaron, amikor befutott a gyorsvonat, ennek következtében a 7-es sorszámot kaptam a kórházban. Bár mi, ott üldögélők nem tulajdonítunk nagy jelentőséget a sorszámoknak az orvos elé járulás szempontjából, de azért mégis számít… Várakozás közben megismerkedtem egy kedves lánnyal (ha olvasod, írj nekem, kérlek a gabi.kovari@gmail.com címemre!), akinek a neve azon nyomban kihullott a rövidtávú memóriámból, amint bemutatkozott.
Majd megérkezett egy új, kedves ismerősöm is, aki aktív korában
topmenedzserként dolgozott menő nagyvállalatoknál, de mint tudjuk, a betegség
nem válogat… Összefutottam egy fehérvári volt munkatársammal, akinek sajnos a
feleségével van hmmm… egészségi probléma.
Aztán jött a 7-es sorszám, odabent értesültem arról a
lesújtó hírről, hogy egy kedves ismerősöm november 2-án elment.
Ez a hír
egészen gyomron ütött. Ő volt az ugyanis, aki a hívásaival, üzeneteivel, mindig
optimista, bátorító, biztató mondataival akkor is erőt tudott önteni belém, amikor éppen mélyponton
voltam. Igen, nekem is vannak mélypontjaim. Persze az öngyötréssel már semmin
nem segíthetek, Gyuri nem lesz kevésbé halott, ha én azon sirdogálok, hogy
milyen tuskó (ingerült, zaklatott, türelmetlen) szoktam lenni vele, miközben ő
valóban csak segíteni akart nekem, rajtam. Csak éppen én úgy éreztem, hogy elég
nekem a magam baja, az övéit (képzelteket és valódiakat) már nem vagyok képes „hordozni”… Hát így, megkésve,
könnyeim mögül kérek bocsánatot, és remélem, hogy tényleg az angyalok vigyáznak rád „valahol odaát”…
2014. október 7., kedd
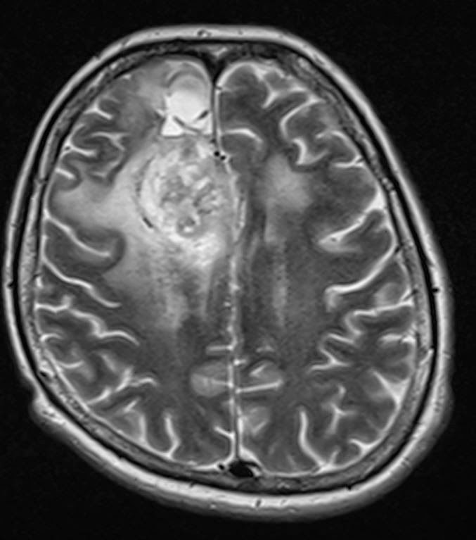
De igen, mégis: VAN említésre méltó változás!
Tegnap, azaz október 6-án vettem fel a 12. kemóciklus gyógyszereit. Még nagyjából egy év van hátra, azaz áll előttem. De nem bánom, hiszen HATÁSOS nálam a Temozolomide. Félidőben ez nagyon szép eredmény.
Odaadtam kezelőorvosomnak a szombati MR-leletemet. Az én kedves orvosom azt mondta, hogy nagyon örül ennek az eredménynek, mert amikor először találkoztunk, és vittem a tavaly júniusi MR-leletemet (amikor kiderült, hogy beszőtte az agyamat), akkor nem sok esélyt látott arra, hogy ebből valami jó is kisülhet.
Aztán megmutatta az akkori (2013. június 6-i) felvételeket, mellé tette a mostaniakat, és valóban döbbenetes a különbség!!! NAGYON ÖRÜLÖK!!!
Köszönöm mindannyiótoknak, akik itt a blogon, a facebookon, e-mailben, vagy személyes találkozások alkalmával biztattok és erőt adtok, gondoltok rám és imádkoztok értem!
Én pedig minden sorstársamnak mielőbbi állapotjavulást és maradéktalan gyógyulást kívánok! :-)
2014. október 4., szombat
2014. augusztus 8., péntek
2014. július 9., szerda
Új gyógyszer
Tegnap, azaz július 8-án voltam ismét a fehérvári neurológián dr. Hosszú Zoltán főorvos úrnál. Elmeséltem neki, hogy mi történt. Azt mondta, igen, a napszúrás hívta elő a rohamot, ez az orvosi tankönyveiben is szerepel, tehát semmi újjal nem tudtam ezúttal előállni.
Mivel anno év elején úgy beszéltük meg, hogy ha jó lesz az MR-em, megfelezhetem a sokféle mellékhatást előidéző Trileptalt, ezért csak az esti 300mg-ot vettem be. Tegnap óta azonban egy új epilepszia elleni gyógyszerrel bővült a repertoárom, az 500mg-os Levillel. Most két hétig ezt kell szednem reggel, este a 300-as Trileptalt, július 24-e után pedig reggel 1000mg Levilre kell váltanom. Ősszel megyek vissza a doktor úrhoz élménybeszámolózni.
Várakozás közben rám villant egy rég nem látott tekintet, és megdöbbentő módon azon nyomban beugrott, hogy a fiút az A1 wellnessből ismerem, és utoljára éppen 10 éve találkoztunk. Ennek nagyon örültem. A találkozás tényének is, illetve legfőképpen annak, hogy valami rejtelmes módon, de tökéletesen működik a hosszútávú memóriám! :-)
A mindennapi gyógyszerezésem most így alakul:
Reggel:
Mivel anno év elején úgy beszéltük meg, hogy ha jó lesz az MR-em, megfelezhetem a sokféle mellékhatást előidéző Trileptalt, ezért csak az esti 300mg-ot vettem be. Tegnap óta azonban egy új epilepszia elleni gyógyszerrel bővült a repertoárom, az 500mg-os Levillel. Most két hétig ezt kell szednem reggel, este a 300-as Trileptalt, július 24-e után pedig reggel 1000mg Levilre kell váltanom. Ősszel megyek vissza a doktor úrhoz élménybeszámolózni.
Várakozás közben rám villant egy rég nem látott tekintet, és megdöbbentő módon azon nyomban beugrott, hogy a fiút az A1 wellnessből ismerem, és utoljára éppen 10 éve találkoztunk. Ennek nagyon örültem. A találkozás tényének is, illetve legfőképpen annak, hogy valami rejtelmes módon, de tökéletesen működik a hosszútávú memóriám! :-)
A mindennapi gyógyszerezésem most így alakul:
Reggel:
- 20mg Quamatel
- 8mg Medrol
- 500mg Levil
- 20mg Quamatel
- 8mg Medrol
- 300mg Trileptal
2014. július 3., csütörtök
Epilepsziás nagyroham 2.0
Vasárnap délelőtt ügyeket intéztem a belvárosban. Tűző napsütésben, fejfedő nélkül, bringával. Hazaértem, tettem-vettem a konyhában, ki akartunk menni a Halesz-ligetbe Borival, mert görkorizni szeretett volna. Egyszer csak arra eszmélek, hogy jóképű mentősök*, köztük az unokatestvérem ébresztgetnek fölém hajolva, és kérdezgetik, hogy hányadika van ma, miközben én a konyhakövön fekszem. Az események későbbi rekonstrukciója alapján kiderült, hogy rosszul lettem, összegörnyedtem, hanyatt estem, bevertem a fejem nagyon csúnyán a padlóba, illetve a konyhapult sarkába vagy a tűzhelyébe, rángatóztam, kicsit habzott a szám, eltorzult az arcom. Hanyatt vágódtam, elvesztettem az eszméletem. Amikor a kislányom, illetve anyukám felfedeztek, vérbe "fagyva" feküdtem, piros tócsában a fejem körül, akár egy fejlövés után... Anyukám, aki a Bori szobájában ablaksikálással volt elfoglalva, sokkot kapott a látványtól, és hirtelen nem tudta, mit kell tenni. Átküldte Borit a szomszédba, hogy segítsenek. Mentőt hívtak, beszállítottak a traumatológiára, ahol több órát töltöttem hanyatt fekve, illetve valahányszor felegyenesedtem, összehánytam magam.
Összeragasztották a terjedelmes fejsebemet, és csináltak egy CT-t is, amely szerint nem lett koponyán belüli vérzésem. Szerettek volna bent fogni pár napra, azonban mivel nekem hétfőn egyébként is jelenésem volt az Amerikai úton (OKITI) a következő kemóadagomért, így a fehérvári orvos megbeszélte a budapestiekkel, hogy felszállítanak mentővel. Így is történt. Szerdán reggel hagyhattam el a budapesti kórházat. Itt is szeretném megköszönni Kővári Attilának, Kőváriné Moldován Tündének, Varga Róbertnek, Attila munkatársa Robinak, Dr. Bagó Attilának, minden nővérnek és mindenkinek, aki segített nekem túlélni ezt a pár napos durván szédülős-hányós őrületet. Külön köszönöm Kassovitz Lacinak és Kővári Enikőnek és kislányának Grétának a látogatásaikat és a hozott finomságokat!
Tanulság: nem elég a befelezett 300 mg-nyi Trileptal, vissza kell állnom a 600 mg-ra, ahogy azt megbeszéltem anno dr. Hosszú Zoltán fehérvári neurológus-epileptológus főorvossal.
*A mentősök szó helytelen valójában, mert olyat sem mondunk, hogy tűzoltósok vagy rendőrösök... :D
Összeragasztották a terjedelmes fejsebemet, és csináltak egy CT-t is, amely szerint nem lett koponyán belüli vérzésem. Szerettek volna bent fogni pár napra, azonban mivel nekem hétfőn egyébként is jelenésem volt az Amerikai úton (OKITI) a következő kemóadagomért, így a fehérvári orvos megbeszélte a budapestiekkel, hogy felszállítanak mentővel. Így is történt. Szerdán reggel hagyhattam el a budapesti kórházat. Itt is szeretném megköszönni Kővári Attilának, Kőváriné Moldován Tündének, Varga Róbertnek, Attila munkatársa Robinak, Dr. Bagó Attilának, minden nővérnek és mindenkinek, aki segített nekem túlélni ezt a pár napos durván szédülős-hányós őrületet. Külön köszönöm Kassovitz Lacinak és Kővári Enikőnek és kislányának Grétának a látogatásaikat és a hozott finomságokat!
(Kép forrása: http://aliasczardjmv.5mp.eu/web.php?a=aliasczardjmv&o=FOkKCqKAGV)
Tanulság: nem elég a befelezett 300 mg-nyi Trileptal, vissza kell állnom a 600 mg-ra, ahogy azt megbeszéltem anno dr. Hosszú Zoltán fehérvári neurológus-epileptológus főorvossal.
*A mentősök szó helytelen valójában, mert olyat sem mondunk, hogy tűzoltósok vagy rendőrösök... :D
2014. június 16., hétfő
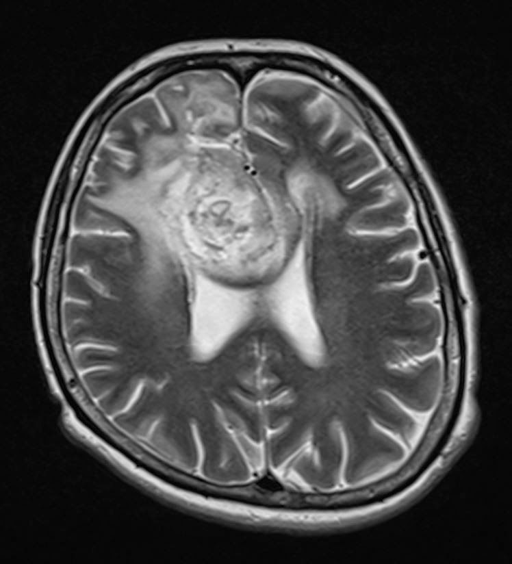
MRI vizsgálat - 2014. június 07.
Összehasonlítva a 2014.02.10-i MR vizsgálattal:
A középvonalat balra kb. 1,5 cm-rel meghaladó és a corpus callosumot involváló jobb oldali frontalis inhomogén szerkeszetű és halmozású elváltozás mérete minden irányban mérsékelten csökkent, legnagyobb átmérője jelenleg kb. 5,6 x 5 x 4,7 cm. T2 súlyozásnál a laesio körül a hyperintenzitás kiterjedése főként dorsalis irányban enyhén csökkent. Az elülső frontalis műtéti behatolás mögött parasagittalisan a liquorhoz viszonyítva magasabb jelű bennéket tartalmazó cystosus elváltozás mérete hasonló a korábbihoz. Bal oldalon temporalis DVA* látható. A kamrarendszer frontális részeinek compressioja és dislocatioja lényegesen nem változott.
Vélemény: Enyhe méretcsökkenést mutató jobb túlsúlyú bifrontális tu. a corpus callosum infiltratiojaval.
*DVA: developmental venous anomaly (DVA) = cerebral venous angioma
Fejlődési eredetű (embrionális) vénás anomális = agyi vénás angióma (érdaganat)
A középvonalat balra kb. 1,5 cm-rel meghaladó és a corpus callosumot involváló jobb oldali frontalis inhomogén szerkeszetű és halmozású elváltozás mérete minden irányban mérsékelten csökkent, legnagyobb átmérője jelenleg kb. 5,6 x 5 x 4,7 cm. T2 súlyozásnál a laesio körül a hyperintenzitás kiterjedése főként dorsalis irányban enyhén csökkent. Az elülső frontalis műtéti behatolás mögött parasagittalisan a liquorhoz viszonyítva magasabb jelű bennéket tartalmazó cystosus elváltozás mérete hasonló a korábbihoz. Bal oldalon temporalis DVA* látható. A kamrarendszer frontális részeinek compressioja és dislocatioja lényegesen nem változott.
Vélemény: Enyhe méretcsökkenést mutató jobb túlsúlyú bifrontális tu. a corpus callosum infiltratiojaval.
*DVA: developmental venous anomaly (DVA) = cerebral venous angioma
Fejlődési eredetű (embrionális) vénás anomális = agyi vénás angióma (érdaganat)
2014. május 14., szerda
Pénzről van szó!!!
Kedves Sorstársaim!
Nekünk is jár a betegségünk utáni adókedvezmény évekre visszamenőleg is. Talán még időben szólok, és fel tudjátok keresni a körzeti orvosotokat, aki kiadhatja Az összevont adóalap adóját csökkentő kedvezmény igénybevételére jogosító igazolást.
Hosszas procedúra és az OEP-pel való levelezést követően az én igazolásomra a C7930-as BNO kód került, amelyhez a kedves OEP-es hölgy azt írta nekem:
"Így ez megfelelhet a 335/2009. (XII. 29.) Korm. rendelet az összevont adóalap adóját csökkentő kedvezmény igénybevétele szempontjából súlyos fogyatékosságnak minősülő betegségekről mellékletének 7. pontjában szereplő agy áttétes betegségének."
Kereshető kódok: http://www.gyogyinfok.hu/forum/BNO/index.asp
Remélem, segítettem nektek!
Üdv,
Gabi
2014. április 19., szombat
2014. április 9., szerda
Semmi különös
Nem történik semmi különös. Csökkentett mennyiségben szedem most a Temozolomidot, az eddigi 380mg helyett 340-et, ugyanis lett egy nem túl jó trombocitaszámom. Amúgy minden rendben. :-)
2014. március 8., szombat
2014. március 4., kedd
Ambuláns vizsgálat március 3.
Kontroll koponya MR vizsgálaton stabil állapot, a térszűkület kissé csökkent.
Klinikailag stabil. MR kontroll 3 hónap múlva.
Temozolomide kezelését 380 mg dózisban folytatjuk.
Következő ciklus március 31-én.
2014. február 21., péntek
Filmajánló
A forrás
(The Fountain)
A fiatal nő agyát halálos kór támadta meg. Orvos férje minden idejét a kutatólaboratóriumban tölti, hogy megtalálja a lehetséges ellenszert. A nő azonban belenyugvással várja a jövőt, megírja élete művét. Arra kéri a férjét, hogy ő fejezze be a művet. Tom szeretné boldog véggel lezárni a történetet, ám az asszony kész tények elé állította. A kilátástalan helyzetben letargiába esik, hiszen a kedvese jelentette élete értelmét, testesítette meg számára a szerelemet. A férfi hosszú és nyomorúságos utat kénytelen bejárni, mire rájön, hogyan is érheti el célját. A történet ezer évet ível át, három különböző korban játszódik.
Port.hu
A FORRÁS (1-32-56)[THE FOUNTAIN][2006][DARREN ARONOFSKY][MAGYAR SZINKRON] from WWW.VALOSAG.NET on Vimeo.
2014. február 11., kedd
Trileptal befelezve
Ma voltam a neurológián. Azt mondta a főorvos úr, hogy nagyon örül a leletemnek, és így már le is csökkentheti az epilepszia gyógyszert. Holnaptól csak este kell egyetlen tablettát bevennem a Trileptal-ból, reggel már nem! Azt is mondta, hogy ő a legnagyobb szurkolóim egyike, és ha bármiben tud segíteni, csak keressem. Szerintem ez is nagyon jó, mert a Trileptal + Quamatel + 8mg Medrol kombó valahogy megfeküdte az elmémet...
Ha valaki bántani meri a fehérvári orvosokat, velem gyűlik meg a baja! ;-)
2014. február 10., hétfő
Az agy részei
Nem mindenki tudja, mi micsoda és hol helyezkedik el az agyban, és nem is mindenki amatőr idegsebésznek készül, hozzám hasonlóan, így hát magyarázatképpen néhány kép.
További hivatkozások:
Forrás: http://www.webbeteg.hu/mediatar/neurologia/113/agy-reszei
Forrás: http://commons.wikimedia.org/wiki/File:Gyrus_cinguli.png
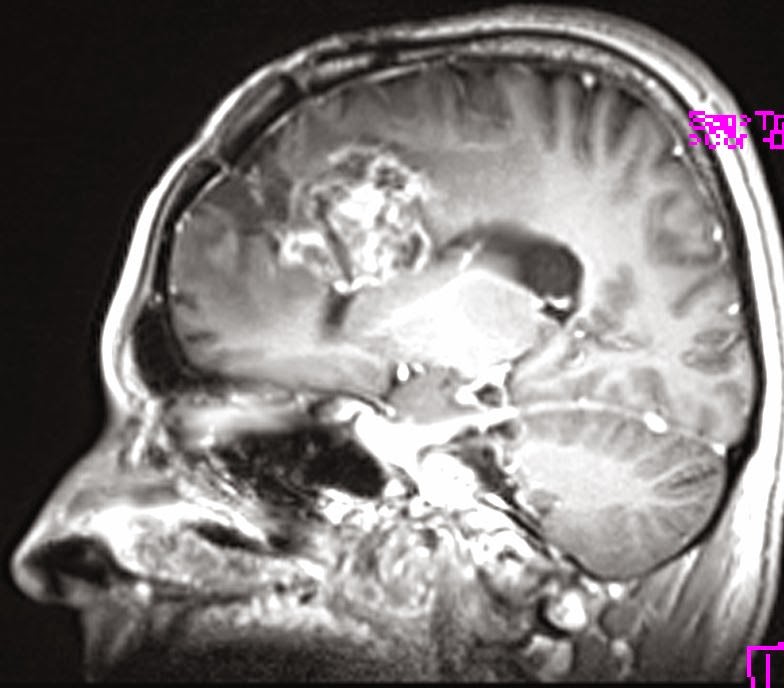
MR eredmény
Elkészült a kemoterápia alatti első MR-felvétel, és íme az eredménye:
Saját, műkedvelő fordításomban ez azt jelenti, hogy:
Jobb oldalon a corpus callosum, azaz kérgestest, amely nem más, mint a két agyféltekét összekötő rostköteg, és a gyrus cinguli, azaz az agyféltekék mediális, tehát középen elhelyezkedő felszínén található hosszú hajlított struktúra elülső részében elhelyezkedő térfoglalás nagysága érdemben nem változott, azonban a szélei jobban elhatárolódtak.
A mérsékelt fokú (hoppá! csak mérsékelt!!!) baloldali terjedés és a környező részben ödémás terület olyan, mint november 11-én volt. Az elülső és a frontális szarvak jobbra, lefelé nyomódtak össze. Továbbá az elülső szarvak hátsó fele olyan, mint volt: mérsékelten tágultak jobb túlsúllyal.
Ami jó hír: mérséklődött a középvonal balra íveltsége.
Mindazonáltal a jobb oldali árkok jobban ábrázolódnak.
A műtéti üreg a korábbihoz hasonló! Nem nőtt tovább a rohadék!!!
Az orvosi vélemény: Stabil állapot.
K. Gy. megmondta, hogy stagnálni fog :-))
A lottószámokat is megmondhatná, tényleg feleznék vele ;-)
2014. január 19., vasárnap
2014. január 16., csütörtök
Helyzetjelentés
Inkább megírom, hogy "na mi a helyzet azóta", ugyanis kezdek belefáradni megint a levéláradat megválaszolásába, és a telefonos érdeklődőknek is csak ugyanazt tudom mondani.
Voltam a fehérvári neurológia epileptológiai szakrendelésén, kaptam Trileptal nevű méregerős tablettát, amelyből reggel és este kell 300mg-ot bevennem preventíve. Ezt azért jó, hogy szednem kell, mert gyakorlatilag egész nap szédölgök, fáradt vagyok és gyenge. Ha már az alapbetegség nem okoz ilyeneket, majd okoz az epilepsziát megelőző gyógyszer! Hurrá!! Amikor megyek az utcán, húz balra a fejem. Aki nem tudja -- márpedig ki tudná, nincs rám írva, hogy miért --, nyilván azt hiszi, hogy fényes nappal részeg vagyok.
Voltam EEG-n. Egyértelműen látszik, hogy nincsenek konkrét epilepsziára utaló ún. tüskék az agyhullámaimban, ugyanakkor a tablettát folyamatosan szednem kell.
A következő kemociklus gyógyszereit február 3-án veszem fel, február 10-én MR-kontroll, annak az eredményével megyek vissza a helyi neurológiára.
Többen nehezményezték, hogy az utolsó képemen túl szomorú vagyok. Nem tudom, ki milyen lenne úgy félórával élete első, ezért sokkoló epilepsziás rohama után péppé harapdált nyelvvel...
Íme egy kevésbé szontyolgó, karácsonyi fotó. Egyébként életemben nem éreztem még ilyen jól magam, mint mostanában. Kevésbé jóindulatúak szerint ez a rengeteg, a központi idegrendszerre ható gyógyszer miatt van. Lehet. Ahogy az is, hogy rám talált egy igazi lélekgyógyász. Igaz, erről képesítése nincs, de hatalmas a szíve, és én éppen beleférek. :-)
Ez a kép december 24-én készült, azóta sokkal több a hajam!!
Na és mivel ez tényleg az én blogom, valóban azt teszek ki, amit csak akarok anélkül, hogy a szőnyeg alatt kúszva, sokszor elnézést kérve és folyton mentegetőzve kellene írnom. Aki ezzel nem ért egyet, ne olvassa, szépen kérem.
És még egyszer utoljára arra is megkérek mindenkit, hogy semmilyen ezoterikus, kvázi vallási, betegségek végső okait tutira tudó anyagot NE KÜLDJÖN NEKEM, ne hívjon semmilyen közösségbe, gyülekezetbe stb. Köszönöm!

2014. január 3., péntek
2014. január 1., szerda
Más is kutatja ezt a kórságot!
Göndör Zoltán barátomnak köszönöm ezeket az anyagokat, amelyeket ezennel közkinccsé teszek.
http://rtl2.hu/musorok/azelsomilliom/videok/229433
http://www.webicina.com/brain-cancer/slideshows-about-down-brain-cancer/#package_container
http://rtl2.hu/musorok/azelsomilliom/videok/229433
http://www.webicina.com/brain-cancer/slideshows-about-down-brain-cancer/#package_container
Feliratkozás:
Megjegyzések (Atom)










