2014. június 16., hétfő

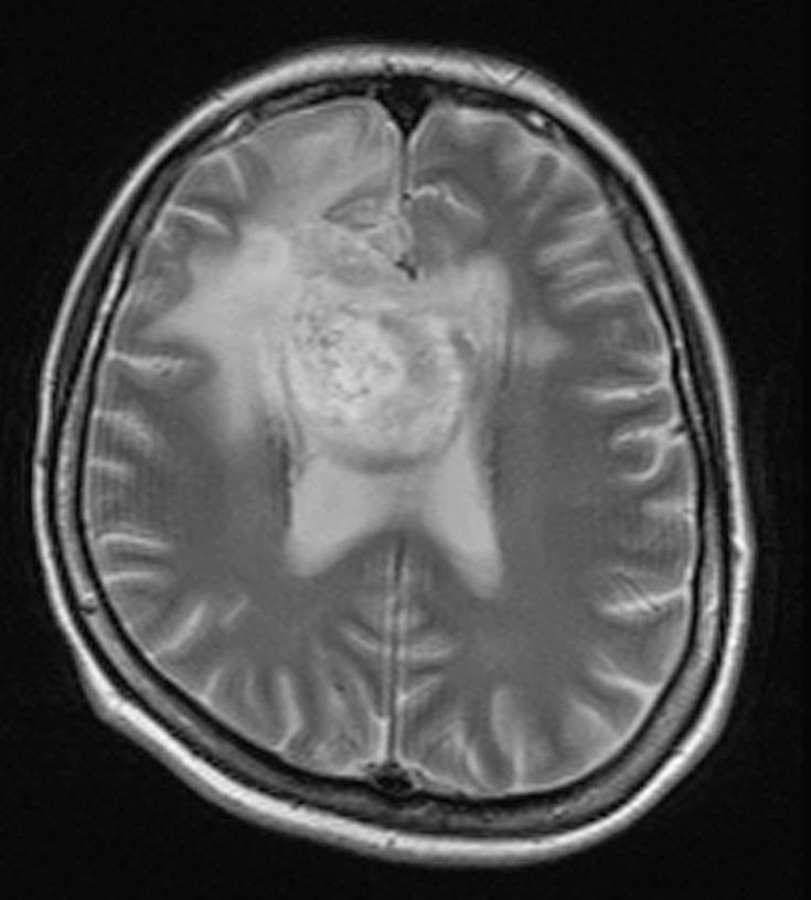
MRI vizsgálat - 2014. június 07.

Összehasonlítva a 2014.02.10-i MR vizsgálattal:

A középvonalat balra kb. 1,5 cm-rel meghaladó és a corpus callosumot involváló jobb oldali frontalis inhomogén szerkeszetű és halmozású elváltozás mérete minden irányban mérsékelten csökkent, legnagyobb átmérője jelenleg kb. 5,6 x 5 x 4,7 cm. T2 súlyozásnál a laesio körül a hyperintenzitás kiterjedése főként dorsalis irányban enyhén csökkent. Az elülső frontalis műtéti behatolás mögött parasagittalisan a liquorhoz viszonyítva magasabb jelű bennéket tartalmazó cystosus elváltozás mérete hasonló a korábbihoz. Bal oldalon temporalis DVA* látható. A kamrarendszer frontális részeinek compressioja és dislocatioja lényegesen nem változott.

Vélemény: Enyhe méretcsökkenést mutató jobb túlsúlyú bifrontális tu. a corpus callosum infiltratiojaval.

*DVA: developmental venous anomaly (DVA) = cerebral venous angioma
Fejlődési eredetű (embrionális) vénás anomális = agyi vénás angióma (érdaganat)